症例詳細
Case detail
長持ちするセラミック 4年半経過症例 50代女性
治療症例の内容
- 診療科目
- 治療カテゴリ
- 担当医
- 患者様
- 50代女性
- 治療期間
- 2ヶ月
- 治療回数
- 2-5回
- 治療計画
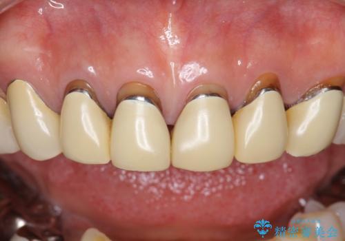
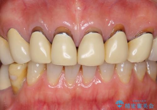
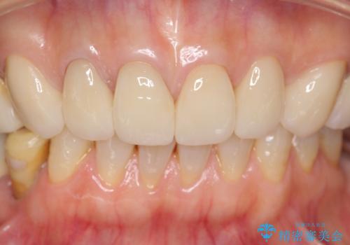
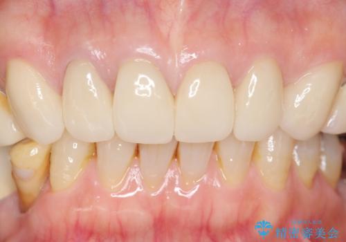
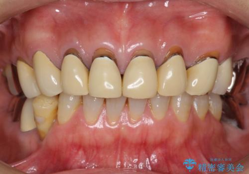
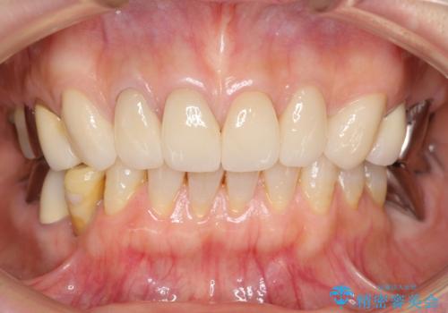
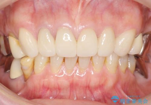
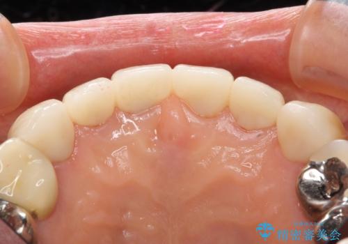
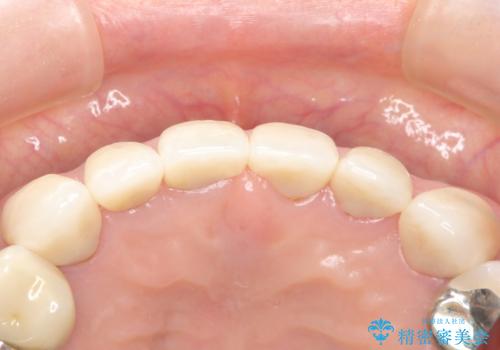
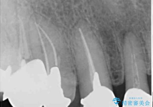
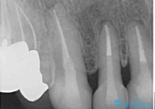
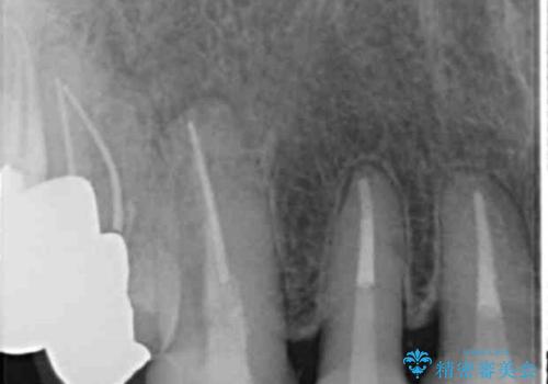
- 前歯のセラミック治療から4年半経過した患者様です。
4年ぶりに来院して下さいました。
治療した上の前歯6本は全く問題なく、「獅子舞みたいだった前歯を綺麗にして下さってありがとうございました!」と再度お礼を言って下さいました。
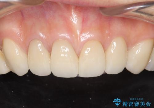
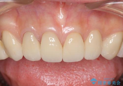
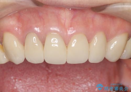
4年半前のクラウン装着時と変わらず、まるで天然歯のように自然に見えました。
患者様の良好なセルフケアと精密な適合の良いクラウンにより、歯肉の腫脹や退縮も認められませんでした。
症例はこちらです。→https://seimitsushinbi.jp/case/7021/
- 費用(概算)
- ¥690,000 (根管治療、仮歯、土台、クラウン)費用は治療当時の料金となります
治療について
4年半前に行った治療に大変ご満足頂き、他の部位の治療のため再来院して下さいました。
エコノミーのオールセラミッククラウンに用いられるe-maxはニケイ酸リチウムガラスを主成分にしたセラミックです。
ガラスで出来ていることから非常に透明感があり、審美性と耐久性(強度はジルコニアの方が高い)を兼ね備えた材質です。
(強度 e-max:約400mPa、ジルコニア:900~1200mPa)
クラウンの種類:オールセラミッククラウン エコノミー
セラミック治療の注意事項(リスク・副作用など)
- 天然歯を削ります
- 硬い素材は天然歯を傷つけてしまう場合があります
- かみ合わせや歯ぎしりが強すぎる方はセラミックが割れてしまう可能性があります
- 自費診療(保険適用外治療)となります
当サイトの内容、テキスト、画像等の無断転載、複製、複写、盗用を固く禁じます。
























