症例詳細
Case detail
マウスピース矯正終了後にPMTCでよりきれいな歯に
治療症例の内容
- 診療科目
- 治療カテゴリ
- 患者様
- 20代女性
- 治療期間
- 1日
- 治療回数
- 1回
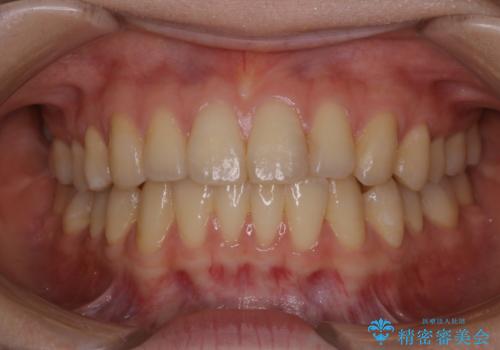
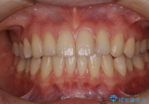
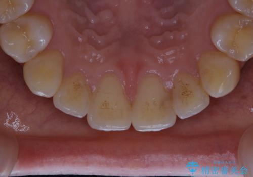
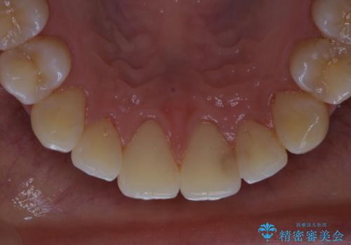
- 治療計画
- インビザラインでのマウスピース矯正が終了したため、きれいにクリーニングして口元を明るい印象にしたいとのことでした。PMTC60分コースを行いました。
- 費用(概算)
- ¥11000費用は治療当時の料金となります
治療について
矯正治療が終わり、せっかくきれいになった歯並びも、虫歯・歯周病などになってしまっては元も子もありません。
矯正治療やセラミックなどによる被せ物の治療終了のタイミングではクリーニングを行い、汚れや着色の除去、歯と歯の間・歯と歯肉との境目などのケアをしっかりすることをおすすめしています。
ご自身での歯ブラシ・セルフケアを行うと同時に、定期的なクリーニング(PMTC)を行うことで、いつまでも健康な歯を保つことができます。
担当
表参道しらゆり歯科 DH西澤
PMTCの注意事項(リスク・副作用など)
- 歯を白くする目的の施術ではありません
- 保険適用外となります
当サイトの内容、テキスト、画像等の無断転載、複製、複写、盗用を固く禁じます。








