症例詳細
Case detail
前歯の虫歯 矯正治療してからしっかり治す
治療症例の内容
- 診療科目
- 治療カテゴリ
- 担当医
- 井上季実子(ドクタープロフィール)
- 患者様
- 30代男性
- 矯正装置
- マウスピース矯正
- 治療期間
- 1年
- 治療回数
- 5-10回
- 治療計画
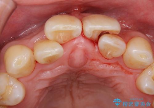
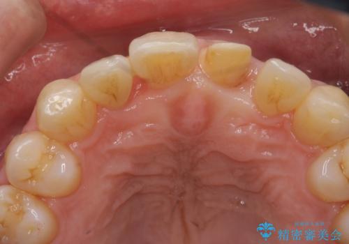
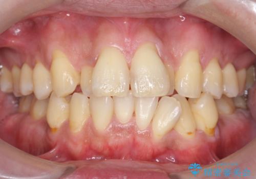
- 前歯の重なったところが虫歯になり、物理的にアプローチが難しい状態でした。
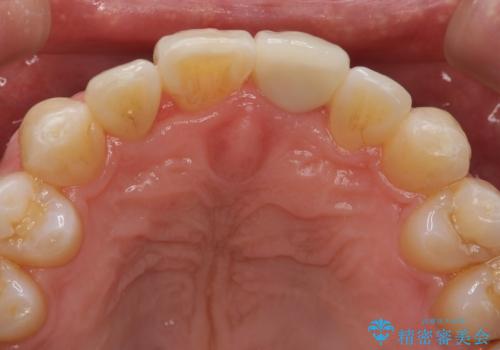
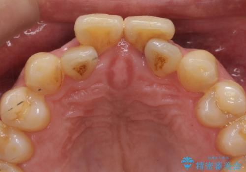
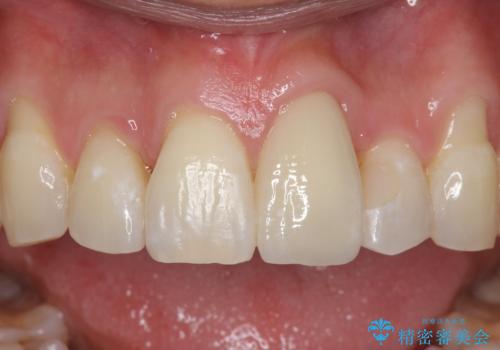
矯正治療前に虫歯を取り、歯並びが良くなってから本格的にセラミック治療を行いました。
- 費用(概算)
- 15.4万円(矯正治療は別途)費用は治療当時の料金となります
治療について
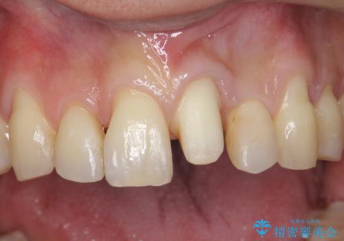
左上1はジルコニアクラウン(スペシャル)で治しました。スペシャルの場合は写真をとり、オリジナルの色味で作成することが可能です。
マウスピース矯正の注意事項(リスク・副作用など)
- 口腔内・歯並びの状態によっては対応できない場合があります
- マウスピース型矯正装置の長時間装着(1日20時間以上)が必須です
- 治療計画通りに進めるためには、患者様の意志が重要になります
- 矯正治療後の保定が不十分だと後戻り(元の位置に戻ろうとする動き)をします
- 薬機法対象外の矯正歯科装置のため医薬品副作用被害救済制度の対象外となる場合があります
- 自費診療(保険適用外)となります
セラミック治療の注意事項(リスク・副作用など)
- 天然歯を削ります
- 硬い素材は天然歯を傷つけてしまう場合があります
- かみ合わせや歯ぎしりが強すぎる方はセラミックが割れてしまう可能性があります
- 自費診療(保険適用外治療)となります
当サイトの内容、テキスト、画像等の無断転載、複製、複写、盗用を固く禁じます。











