症例詳細
Case detail
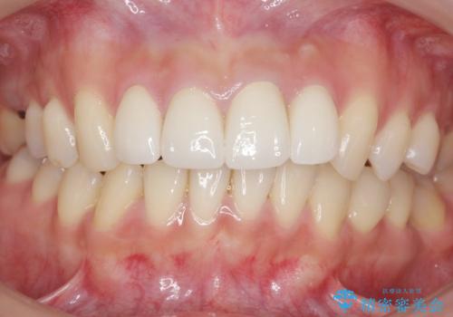
前歯をきれいにしたい 20代女性
治療症例の内容
- 診療科目
- 治療カテゴリ
- 担当医
- 患者様
- 20代女性
- 治療期間
- 2ヶ月
- 治療回数
- 2-5回
- 治療計画
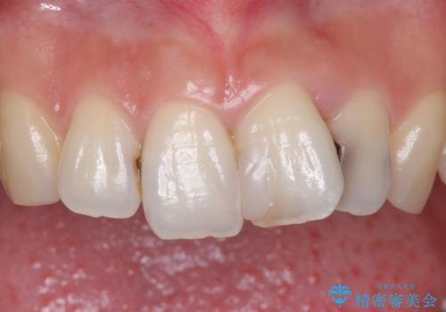
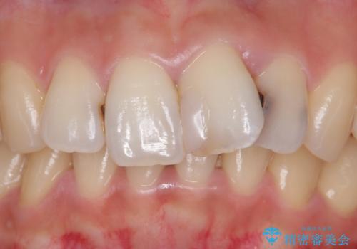
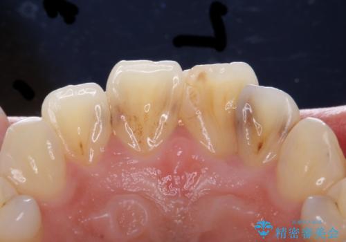
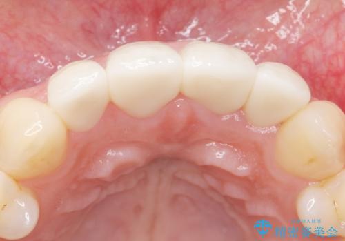
- 前歯をきれいにしたいとのご希望により来院された患者様です。
ご希望により、上の前歯4本のセラミッククラウンによる補綴治療を行いました。
- 費用(概算)
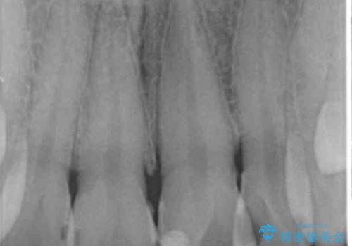
- ¥572,000 (根管治療×1本、土台×1本、仮歯×4本、クラウン×4本) ※税込費用は治療当時の料金となります
治療について
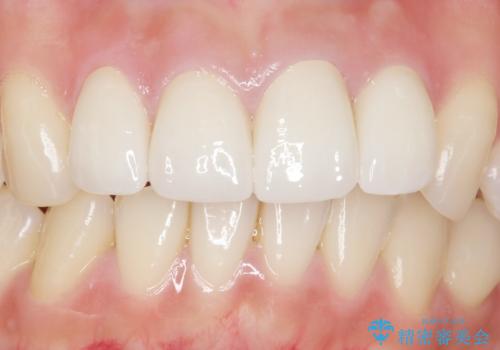
綺麗な仕上がりに喜んで頂けました。
患者様のご希望により、クラウン作製前にオフィスホワイトニングを行いました。
今後ホワイトニングを継続し天然歯をより白くしていく予定とのことで、クラウンのお色味は隣在歯よりやや白めにオーダーしております。
他の部位の治療もご希望して下さり、現在治療中です。
クラウンの種類:オールセラミッククラウン スタンダード
セラミック治療の注意事項(リスク・副作用など)
- 天然歯を削ります
- 硬い素材は天然歯を傷つけてしまう場合があります
- かみ合わせや歯ぎしりが強すぎる方はセラミックが割れてしまう可能性があります
- 自費診療(保険適用外治療)となります
当サイトの内容、テキスト、画像等の無断転載、複製、複写、盗用を固く禁じます。












