症例詳細
Case detail
インビザライン治療中のクリーニング
治療症例の内容
- 診療科目
- 治療カテゴリ
- 患者様
- 20代女性
- 治療期間
- 1日
- 治療回数
- 1回
- 治療計画
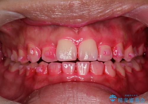
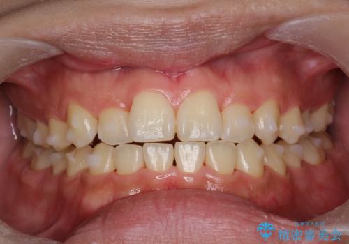
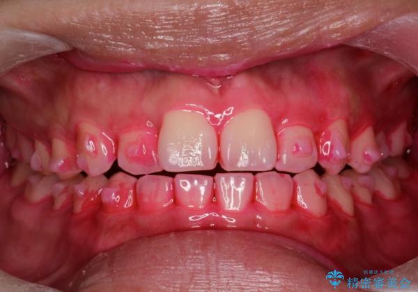
- インビザラインにて矯正中の患者様です。
毎日かなり丁寧に磨いていただいており、着色はほとんど見られません。
矯正中は矯正器具が歯についているため、汚れが器具の周りや、器具によって歯ブラシの毛先が歯に当たらないところなどがあります。
赤い染め出し剤にて汚れを目立つようにしたところ、かなり丁寧に磨いてる方でも汚れがみられました。
このまま気づかずに放置しておくと虫歯や歯周病のリスクをあげてしまうおそれがあるので、PMTCを行いました。
- 費用(概算)
- 13200円(税込)費用は治療当時の料金となります
治療について
PMTC(エアフロー)
水と風と細かいパウダーで歯と歯の間や補綴物の周り、矯正器具回りなど磨きづらいところまでお掃除が可能な機械です。
着色だけではなく、歯の表面にあるバイオフィルムの除去も行える機械です。
お口の中は細菌がたくさんいるところになるので定期的にクリーニングを行うことをお勧めいたします。
六本木河野歯科クリニック DH椎名
PMTCの注意事項(リスク・副作用など)
- 歯を白くする目的の施術ではありません
- 保険適用外となります
当サイトの内容、テキスト、画像等の無断転載、複製、複写、盗用を固く禁じます。


