症例詳細
Case detail
マウスピース矯正の途中にPMTCで白い歯に
治療症例の内容
- 診療科目
 
- 治療カテゴリ
 
- 患者様
 - 20代男性
 
- 治療期間
 - 1日
 
- 治療回数
 - 1回
 
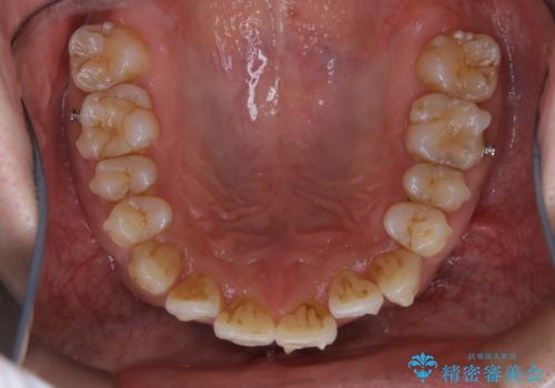
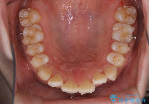
- 治療計画
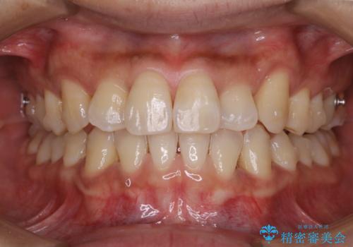
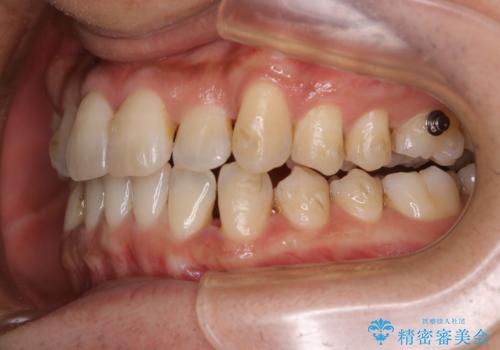
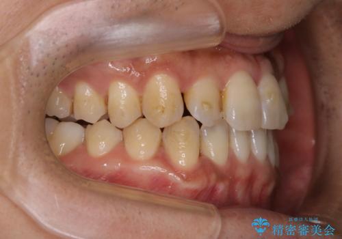
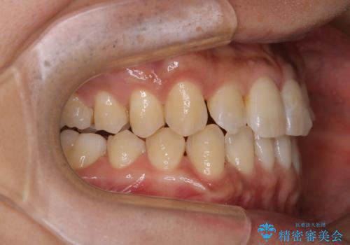
 - インビザラインによるマウスピース矯正中に歯の黄ばみ・ステインが気になるとのことでした。PMTC60分コースを行いました。
 
- 費用(概算)
 - ¥11000費用は治療当時の料金となります
 
治療について
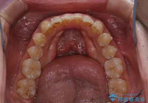
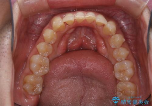
マウスピース矯正インビザライン治療では、歯の表面にアタッチメントという突起を設定します。(アタッチメントは歯の動きを効率的に移動するためのものです)
アタッチメントが歯に付くと、表面が凸凹し磨き残しが多くなったりと、プラークや歯石・着色がつきやすくなることがあります。
矯正治療中もPMTCを定期的に行い、専門的な機械でしっかりと汚れを除去することがおススメです。
PMTCのコースについて
PMTCは30分コース・60分コースがあります。
30分コースでは主に前歯をメインに行います。
60分コースでは全体的に行います。
お口の状態、ご希望に合わせて当日担当の歯科衛生士とご相談してから行うことが可能です。
※着色や歯石の量、お口の状態により60分コースでも全ての汚れを除去することができない場合もあります。
担当
表参道しらゆり歯科 DH西澤
PMTCの注意事項(リスク・副作用など)
- 歯を白くする目的の施術ではありません
 - 保険適用外となります
 
当サイトの内容、テキスト、画像等の無断転載、複製、複写、盗用を固く禁じます。

                      
                                                          








