症例詳細
Case detail
長持ちするセラミック 5年経過症例 50代女性
治療症例の内容
- 診療科目
- 治療カテゴリ
- 担当医
- 患者様
- 50代女性
- 治療期間
- 2ヶ月
- 治療回数
- 2-5回
- 治療計画
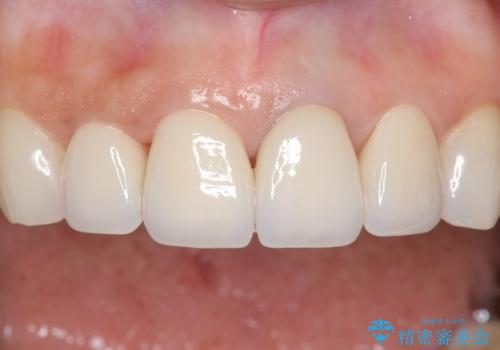
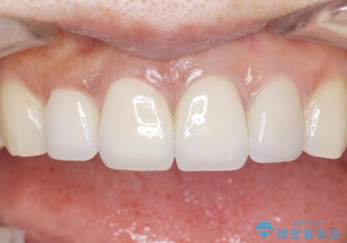
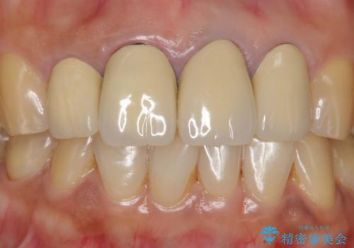
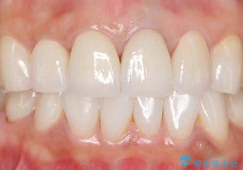
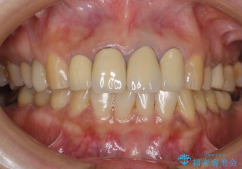
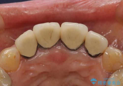
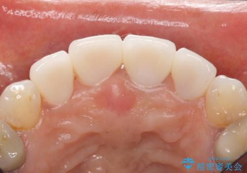
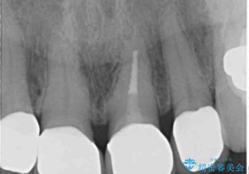
- 前歯のセラミック治療から5年経過した患者様です。
数年ぶりにメンテナンスに来て下さいました。
治療した上の前歯4本は全く問題がないそうで、「どうしてこんなに長持ちするんですか?」と聞かれた程です。
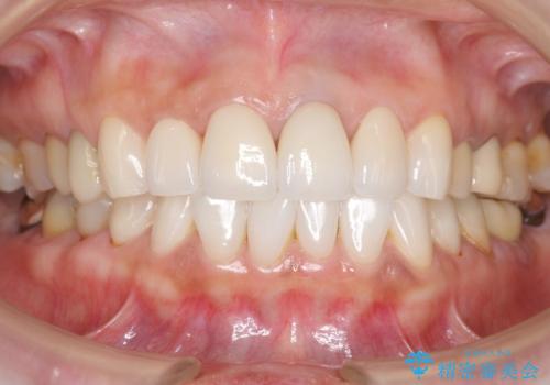
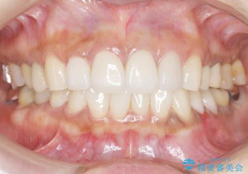
5年前のクラウン装着時と比較したところ、歯肉が成熟し歯間乳頭ができており、より天然歯のように自然に見えました。
患者様の良好なセルフケアと精密な適合の良いクラウンにより、歯肉の腫脹や退縮も認められませんでした。
症例はこちらです。→ https://seimitsushinbi.jp/case/4656/
- 費用(概算)
- ¥500,000 (根管治療、仮歯、土台、被せ物、ホワイトニング)費用は治療当時の料金となります
治療について
5年前に行った治療に大変ご満足頂き、他の部位も治療やホワイトニングを希望して下さいました。
人工のダイヤモンドにも用いられるジルコニアは、セラミック系素材の中でも圧倒的に丈夫かつ審美的で、劣化しにくく口腔内でも長期間安定した状態を保つことができます。
クラウンの種類:ジルコニアオールセラミッククラウン スタンダード
セラミック治療の注意事項(リスク・副作用など)
- 天然歯を削ります
- 硬い素材は天然歯を傷つけてしまう場合があります
- かみ合わせや歯ぎしりが強すぎる方はセラミックが割れてしまう可能性があります
- 自費診療(保険適用外治療)となります
当サイトの内容、テキスト、画像等の無断転載、複製、複写、盗用を固く禁じます。


















