症例詳細
Case detail
金属の詰め物をセラミックへ
治療症例の内容
- 診療科目
- 担当医
- 患者様
- 50代女性
- 治療期間
- 2ヶ月
- 治療回数
- 2-5回
- 治療計画
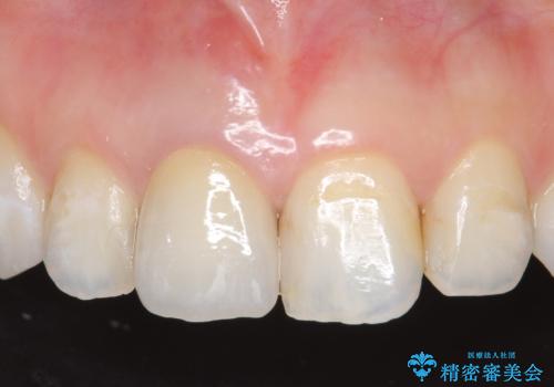
- 金属アレルギーがあり金属の詰め物を全てセラミックにしたいとのことで来院されました。
小さい金属の詰め物のところは、セラミックの詰め物で、左下の一番後ろの歯は詰め物が大きかったのでオールセラミッククラウン(かぶせ物)にて治療することになりました。
- 費用(概算)
- 約35万円費用は治療当時の料金となります
治療について
保険での金属の詰め物は外したら中が虫歯になっていたり、ぴったりとしたものが装着されていないことがとても多いです。
当院では虫歯の取り残しがないようにし、精度の高い補綴物(かぶせや詰め物)を装着するために拡大鏡を使用しています。肉眼ではやはり限界があり、拡大して細部まで確認して治療するということが非常に重要です。
レントゲン上でも精度の高い補綴物が装着されていることがわかります。
セラミック治療の注意事項(リスク・副作用など)
- 天然歯を削ります
- 硬い素材は天然歯を傷つけてしまう場合があります
- かみ合わせや歯ぎしりが強すぎる方はセラミックが割れてしまう可能性があります
- 自費診療(保険適用外治療)となります
当サイトの内容、テキスト、画像等の無断転載、複製、複写、盗用を固く禁じます。












