症例詳細
Case detail
上顎骨拡大を用いたインビザラインによる非抜歯矯正
治療症例の内容
- 診療科目
- 治療カテゴリ
- 担当医
- 藤巻太一朗(ドクタープロフィール)
- 患者様
- 20代女性
- 矯正装置
- 急速拡大装置・インビザライン
- 治療期間
- 1年5ヶ月
- 治療回数
- 10-30回
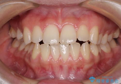
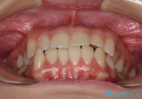
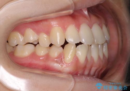
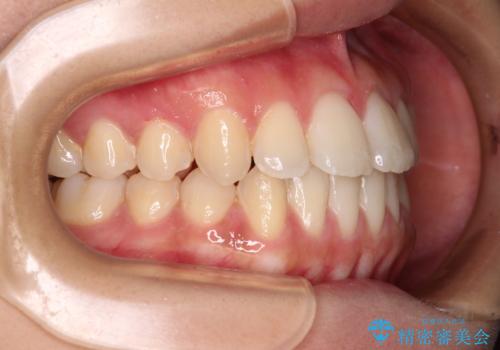
- 治療計画
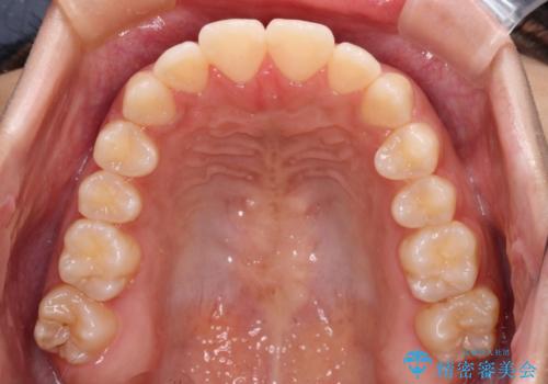
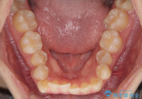
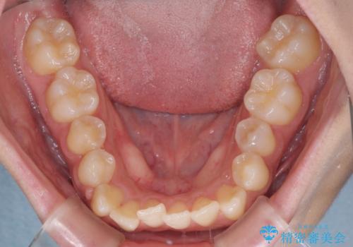
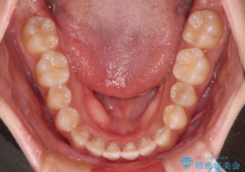
- 上下のデコボコと奥歯の咬みにくさを気にして来院された患者様です。
上顎骨の幅が下顎骨よりも小さく受け口傾向であったため、拡大装置により上顎骨の骨幅を広げて上下関係を改善し、その後インビザラインにて歯並びを整えることとしました。
- 費用(概算)
- 治療費の目安: 100万円(税込)費用は治療当時の料金となります
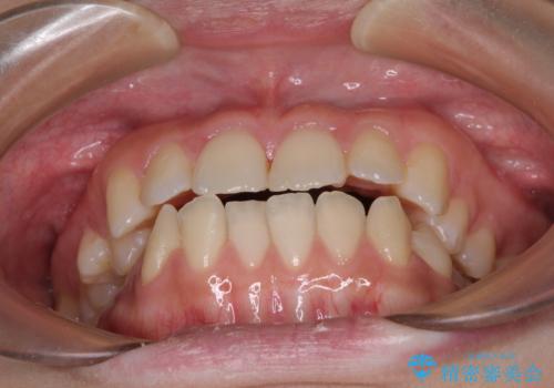
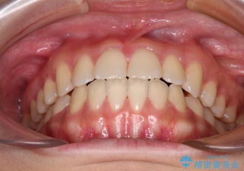
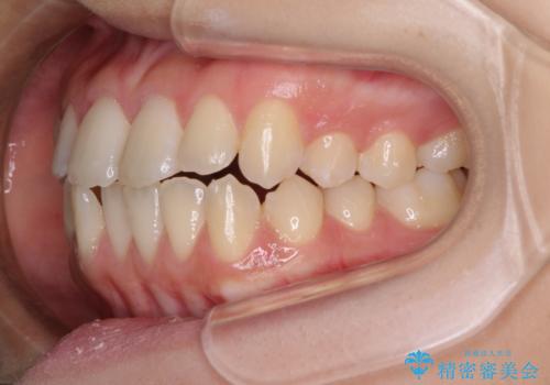
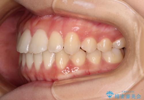
治療について
下顎歯列は上顎歯列内に収まるように並んでいますが、上顎骨の幅が狭いと、下顎臼歯が全体的に舌側に傾斜した歯列となってしまいます。
舌側に傾斜した歯列は奥歯に力の負担がかかりやすく、歯磨きがしにくいなどの問題があるため、上顎骨拡大により舌側傾斜を改善することが可能となります。
マウスピース矯正の注意事項(リスク・副作用など)
- 口腔内・歯並びの状態によっては対応できない場合があります
- マウスピース型矯正装置の長時間装着(1日20時間以上)が必須です
- 治療計画通りに進めるためには、患者様の意志が重要になります
- 矯正治療後の保定が不十分だと後戻り(元の位置に戻ろうとする動き)をします
- 薬機法対象外の矯正歯科装置のため医薬品副作用被害救済制度の対象外となる場合があります
- 自費診療(保険適用外)となります
当サイトの内容、テキスト、画像等の無断転載、複製、複写、盗用を固く禁じます。





























