症例詳細
Case detail
大人の出っ歯 がたがた 劇的に改善
治療症例の内容
- 診療科目
- 担当医
- 井上季実子(ドクタープロフィール)
- 患者様
- 20代女性
- 矯正装置
- 審美装置
- 治療期間
- 2年3ヶ月
- 治療回数
- 10-30回
- 治療計画
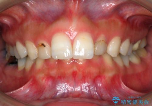
- 前歯のがたがたを主訴に来院。
前歯がかなり大きかったため、ディスキングを行いました。
上下の小臼歯を抜歯しています。
- 費用(概算)
- 90万費用は治療当時の料金となります
治療について
臼歯は2級咬合であり、歯冠の高径が小さくブラケットを装着するのがかなり難しかったので治療初期はバイトアップを行いました。そのため、治療途中に青いレジンが下顎についていますが、途中で撤去しました。
また、上顎側切歯が中前歯よりも幅径が大きく、出っ歯になりやすい状態だったため、ディスキングにより前歯部の上下の歯の比率を揃え、しっかり咬むように工夫しました。
ワイヤー矯正の注意事項(リスク・副作用など)
- 治療中は違和感や痛みが起こることがあります
- 症状により、抜歯が必要な場合があります
- 治療中は歯磨きがしにくくなるため、虫歯や歯周病になりやすくなります
- 矯正治療後の保定が不十分だと後戻り(元の位置に戻ろうとする動き)をします
- 自費診療(保険適用外)となります
当サイトの内容、テキスト、画像等の無断転載、複製、複写、盗用を固く禁じます。























