症例詳細
Case detail
大人になってからの乳歯脱落 セラミックブリッジによる補綴
治療症例の内容
- 担当医
- 大元洋佑(ドクタープロフィール)
- 患者様
- 40代女性
- 治療期間
- 6ヶ月
- 治療回数
- 5-10回
- 治療計画
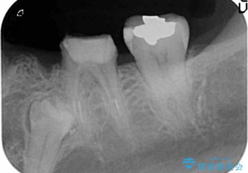
- 大人になってからも残っていた乳歯が揺れ始め、抜歯を覚悟しインプラント治療を希望して来院されました。
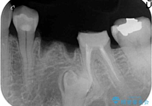
X線写真より、乳歯は抜歯が必要な状態でインプラントは小臼歯の埋伏により難しい状況であったのでブリッジによる補綴を選択しました。
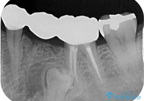
ブリッジ治療の予知性を高めるために、虫歯の徹底的な除去に加え縁上歯質を確保するための歯周外科手術、マイクロスコープを用いた精密根管治療を行う治療計画としました。
- 費用(概算)
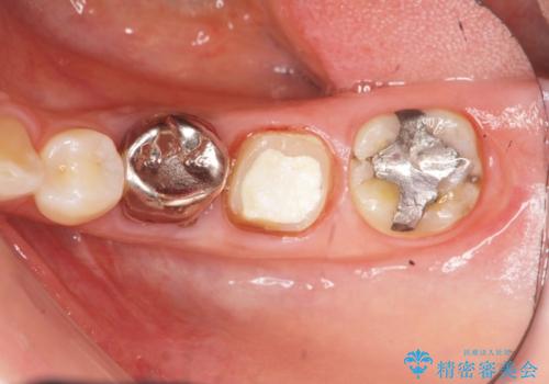
- 26万円(仮歯・ファイバーコア・フルジルコニアクラウン×3) 費用は治療当時の料金となります
乳歯の治療について
大人になってから残っていた乳歯を抜去する必要が出てきた場合、ブリッジやインプラントなどの補綴治療が必要になることがほとんどです。
外科処置の注意事項(リスク・副作用など)
- 外科手術のため、術後に出血、痛みや腫れ、違和感を伴います
- 口腔内の状態によっては適応できないことがあります
セラミック治療の注意事項(リスク・副作用など)
- 天然歯を削ります
- 硬い素材は天然歯を傷つけてしまう場合があります
- かみ合わせや歯ぎしりが強すぎる方はセラミックが割れてしまう可能性があります
- 自費診療(保険適用外治療)となります
当サイトの内容、テキスト、画像等の無断転載、複製、複写、盗用を固く禁じます。
















