症例詳細
Case detail
下顎骨が顕著に右側にずれている インビザラインによる咬合改善
治療症例の内容
- 診療科目
- 担当医
- 藤巻太一朗(ドクタープロフィール)
- 患者様
- 30代男性
- 矯正装置
- インビザライン
- 治療期間
- 3年8ヶ月
- 治療回数
- 10-30回
- 治療計画
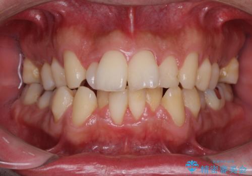
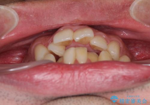
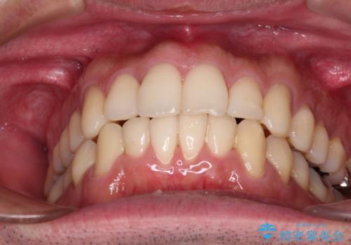
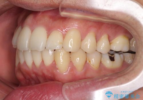
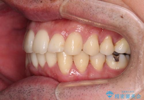
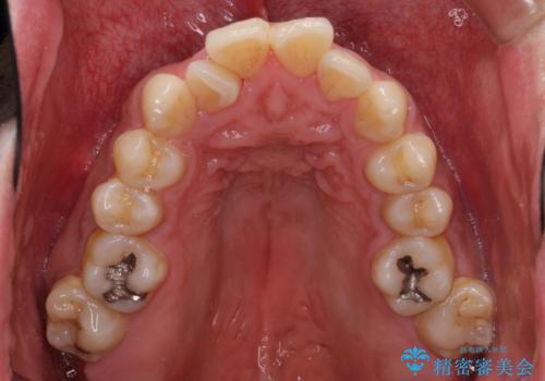
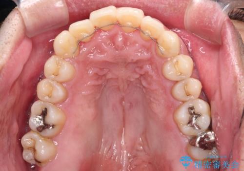
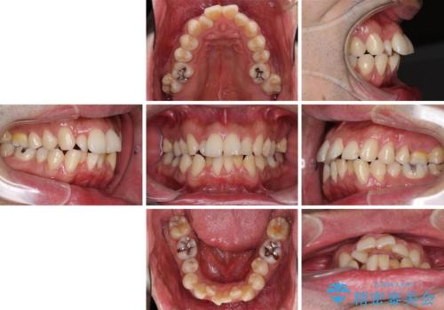
- 上下前歯のデコボコを気にして来院された患者様です。
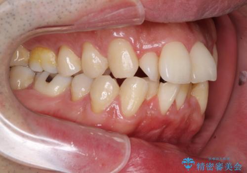
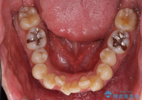
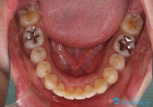
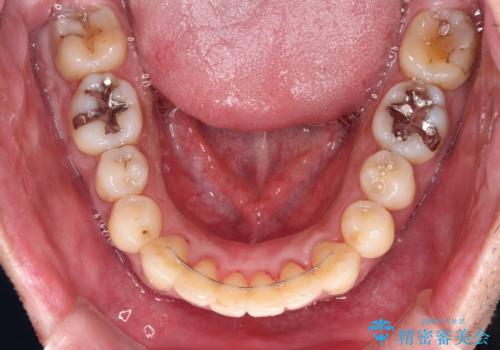
下顎骨が顕著な左右差を持って成長したため、右側にずれている状態でした。
デコボコは抜歯をすることなく解消できる程度であったため、インビザラインにより矯正治療を行うこととしました。
- 費用(概算)
- 治療費の目安: 95万円(税込)費用は治療当時の料金となります
治療について
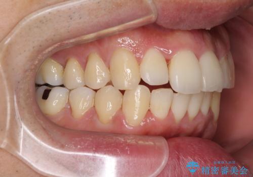
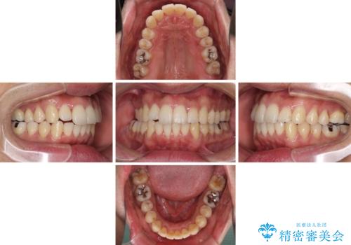
インビザラインは1日22時間を目標にマウスピースを装着することで歯列を改善するものです。
そのため、上下の歯が接触することはほとんどなく、マウスピースを介した咬合において歯列矯正が進んでいきます。
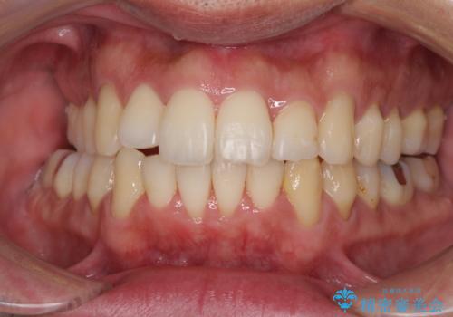
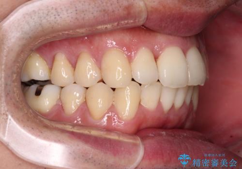
この方は元々骨格的な偏位が大きかったためか、治療中に下顎骨が上顎骨よりも右外側に誘導されて、右側の奥歯が全く咬合しない状態が続いてしまいました。
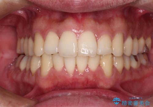
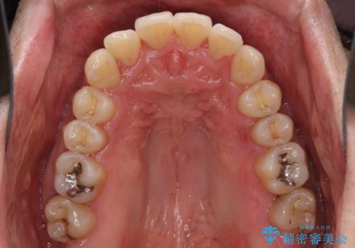
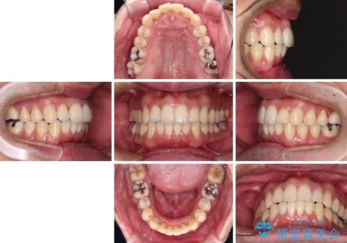
最終的にはゴムかけなどを活用して改善することができましたが、4年近い治療期間を要することとなりました。
マウスピース矯正の注意事項(リスク・副作用など)
- 口腔内・歯並びの状態によっては対応できない場合があります
- マウスピース型矯正装置の長時間装着(1日20時間以上)が必須です
- 治療計画通りに進めるためには、患者様の意志が重要になります
- 矯正治療後の保定が不十分だと後戻り(元の位置に戻ろうとする動き)をします
- 薬機法対象外の矯正歯科装置のため医薬品副作用被害救済制度の対象外となる場合があります
- 自費診療(保険適用外)となります
当サイトの内容、テキスト、画像等の無断転載、複製、複写、盗用を固く禁じます。


























