症例詳細
Case detail
銀歯を白く セラミックインレー治療
治療症例の内容
- 診療科目
- 治療カテゴリ
- 担当医
- 大元洋佑(ドクタープロフィール)
- 患者様
- 30代女性
- 治療期間
- 1ヶ月
- 治療回数
- 2-5回
- 治療計画
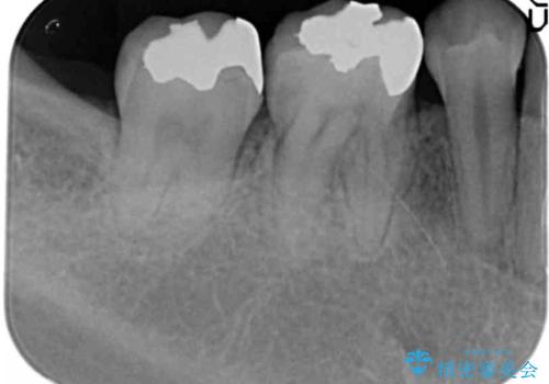
- 矯正治療が終了し、目立つ銀歯を白くやりかえたいと来院されました。
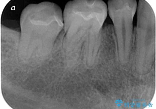
長期的な予後の期待できる銀歯を除去しセラミックインレーによるやり替えを計画します。
- 費用(概算)
- 15.4万円(セラミックインレー×2)費用は治療当時の料金となります
セラミックインレー治療について
セラミックインレーは色調を選択することができるので、歯の色に合わせ自然な色合いに仕上げることができます。
セラミック治療の注意事項(リスク・副作用など)
- 天然歯を削ります
- 硬い素材は天然歯を傷つけてしまう場合があります
- かみ合わせや歯ぎしりが強すぎる方はセラミックが割れてしまう可能性があります
- 自費診療(保険適用外治療)となります
当サイトの内容、テキスト、画像等の無断転載、複製、複写、盗用を固く禁じます。




