症例詳細
Case detail
前歯だけ治したい インビザライン・ライト 30代男性
治療症例の内容
- 患者様
- 30代男性
- 治療期間
- 5ヶ月
- 治療回数
- 2-5回
- 治療計画
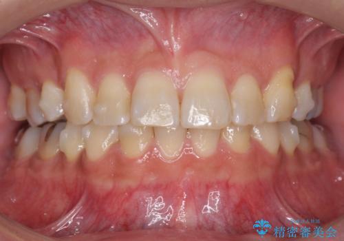
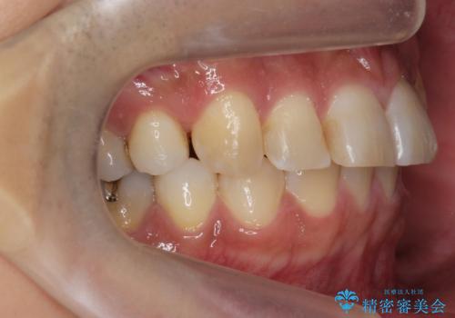
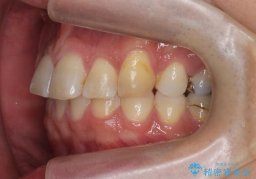
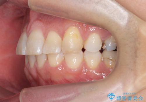
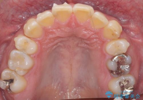
- 前歯だけ歯並びを治したいとのご希望で来院された患者様です。
数年前にワイヤー矯正を行ったものの、少し後戻りしてしまったそうです。
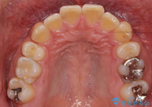
上の前歯が斜めに見えること、犬歯と小臼歯の間の隙間、上下顎前歯のがたつきを治すことをご希望されていました。
気になるのは前歯だけで、奥歯の咬み合わせは気にならないとのことでした。
ご予算と患者様のご希望により、インビザライン・ライト(マウスピース14枚)によるマウスピース矯正を行いました。
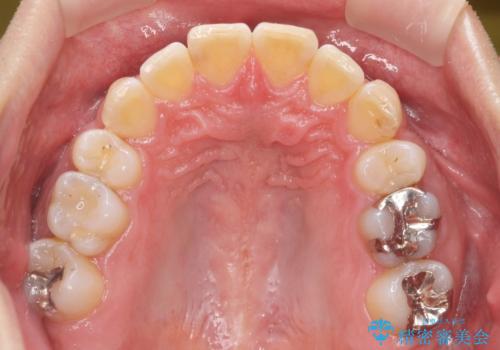
矯正期間(マウスピースを装着した期間):3ヶ月2週間(マウスピース14枚、1週間交換)
- 費用(概算)
- ¥495,000 (インビザライン ライト) ※税込費用は治療当時の料金となります
治療について
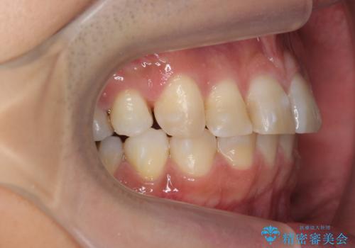
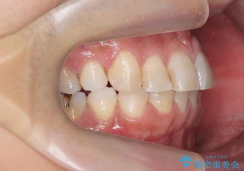
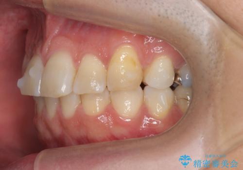
治療終了後、治療前後の写真をお見せすると「全然違いますね!」と喜んで下さいました。
マウスピースを指示された時間通りしっかり装着して下さり、治療中も「もっと長期間つけていても大丈夫なほど違和感ないし、つらくないです」とおっしゃって下さいました。
実際の矯正期間は3ヶ月2週間(マウスピース14枚、1週間交換)と短期間で治療を終えることができました。
装置の種類:インビザライン ライト
マウスピース矯正の注意事項(リスク・副作用など)
- 口腔内・歯並びの状態によっては対応できない場合があります
- マウスピース型矯正装置の長時間装着(1日20時間以上)が必須です
- 治療計画通りに進めるためには、患者様の意志が重要になります
- 矯正治療後の保定が不十分だと後戻り(元の位置に戻ろうとする動き)をします
- 薬機法対象外の矯正歯科装置のため医薬品副作用被害救済制度の対象外となる場合があります
- 自費診療(保険適用外)となります
当サイトの内容、テキスト、画像等の無断転載、複製、複写、盗用を固く禁じます。

















