症例詳細
Case detail
美容整形よりも、自然な美しさを。口元は大事です。
治療症例の内容
- 担当医
- 井上季実子(ドクタープロフィール)
- 患者様
- 20代女性
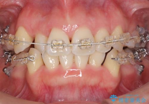
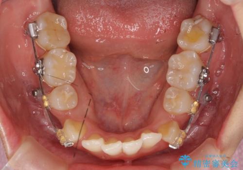
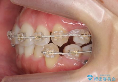
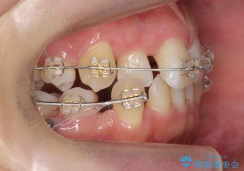
- 矯正装置
- 審美装置
- 治療期間
- 2年3ヶ月
- 治療回数
- 10-30回
- 治療計画
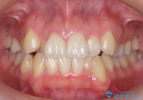
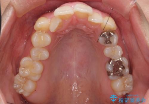
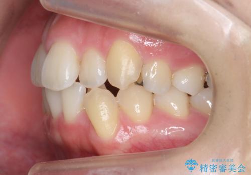
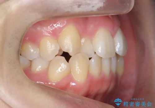
- 前歯のがたつきと正中のずれを主訴に来院。
小臼歯を4本抜歯しています。
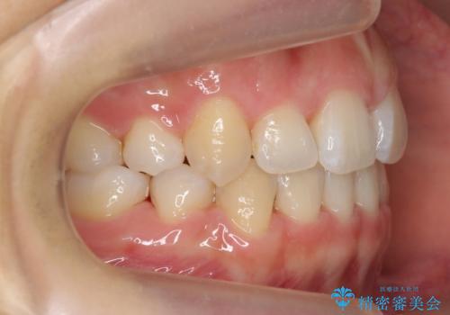
ワイヤー矯正は時間はかかりますが、仕上がった後の自然な美しさは他の追随を許しません。
口元を下げて理想的な横顔のラインを手に入れるためには、他には美容整形で鼻や顎に人工物を入れ、相対的に口元の突出感を目立たなくする方法もあります。
歯科矯正は人工物を入れず、手術も不要、術後の心配が少ないです。
美しくなるために、何を選ぶのかは自由ですが、多くの方に治療の効果を知っていただき、選択肢に入れていただけると幸いです。
- 費用(概算)
- 110万円 (税込)動的治療中の通院料込み費用は治療当時の料金となります
治療について
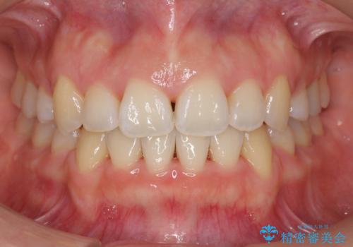
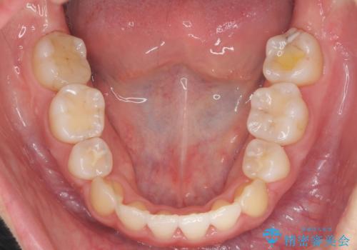
歯を抜いたことで、口元が下がって、横顔も理想的なラインになりました。
ワイヤー矯正の注意事項(リスク・副作用など)
- 治療中は違和感や痛みが起こることがあります
- 症状により、抜歯が必要な場合があります
- 治療中は歯磨きがしにくくなるため、虫歯や歯周病になりやすくなります
- 矯正治療後の保定が不十分だと後戻り(元の位置に戻ろうとする動き)をします
- 自費診療(保険適用外)となります
当サイトの内容、テキスト、画像等の無断転載、複製、複写、盗用を固く禁じます。



















