症例詳細
Case detail
歯が折れた 低予算でオールセラミックのブリッジ 20代女性
治療症例の内容
- 診療科目
 
- 治療カテゴリ
 
- 担当医
 
- 患者様
 - 20代女性
 
- 治療期間
 - 5ヶ月
 
- 治療回数
 - 2-5回
 
- 治療計画
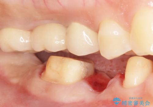
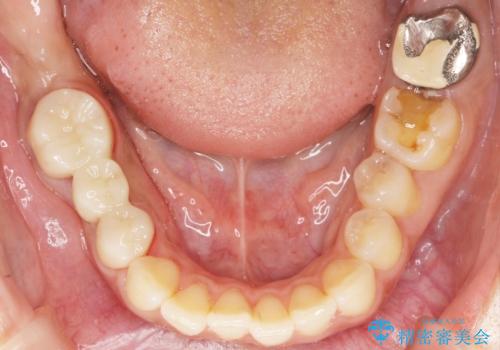
 - 歯が折れてなくなってしまったことを主訴に来院された患者様です。
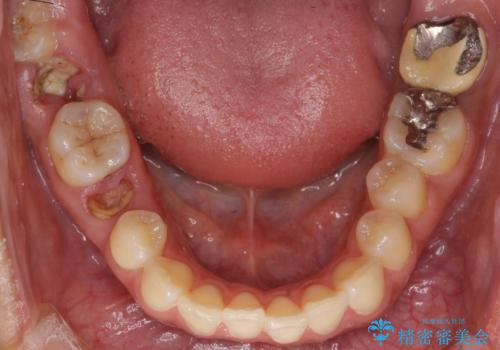
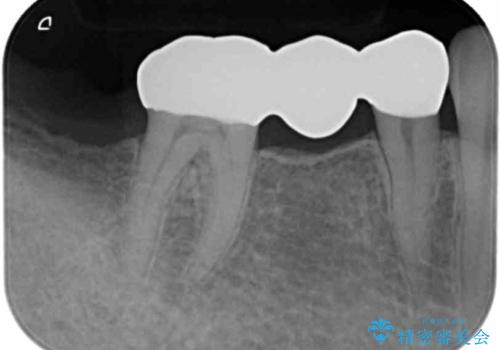
精査したところ、右下の奥歯2本(右下75)は大きなう蝕により歯冠が崩壊し保存不可能な状態でした。
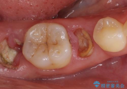
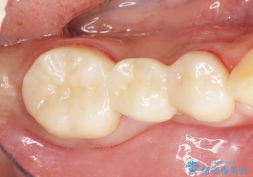
保存不可能な歯を抜去し、オールセラミックのブリッジによる補綴治療を行いました。 
- 費用(概算)
 - ¥264,000 (仮歯×3本、クラウン×3本) ※税込費用は治療当時の料金となります
 
治療について
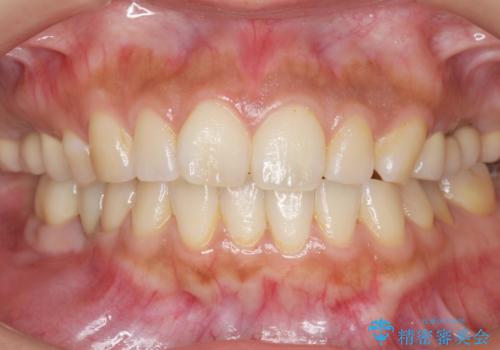
自然な仕上がりと咬み心地に喜んで頂けました。
「予算を抑えてしっかりとした治療が受けられた」とご満足頂けました。
プラークコントロール不良につき仮歯を精密に合わせても歯肉の腫脹を認めたため、工夫を凝らして精密な型取りを行うことで適合の良いクラウンを製作致しました。
クラウンの種類:ベレッツァクラウン
※右上臼歯部の治療に関してはこちらです。→https://seimitsushinbi.jp/case/70519/
セラミック治療の注意事項(リスク・副作用など)
- 天然歯を削ります
 - 硬い素材は天然歯を傷つけてしまう場合があります
 - かみ合わせや歯ぎしりが強すぎる方はセラミックが割れてしまう可能性があります
 - 自費診療(保険適用外治療)となります
 
当サイトの内容、テキスト、画像等の無断転載、複製、複写、盗用を固く禁じます。

                      
                                                          













