症例詳細
Case detail
【メタルフリー】白い歯を手に入れたい
治療症例の内容
- 診療科目
- 治療カテゴリ
-
- 担当医
- 河口智英(ドクタープロフィール)
- 患者様
- 40代女性
- 治療期間
- 2ヶ月
- 治療回数
- 1回
- 治療計画
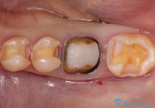
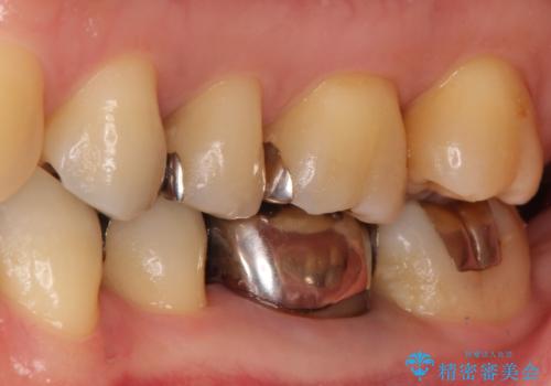
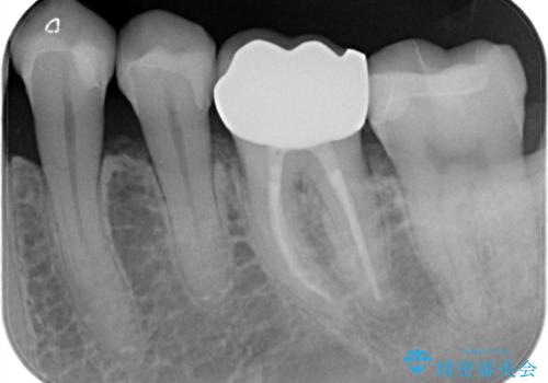
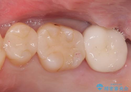
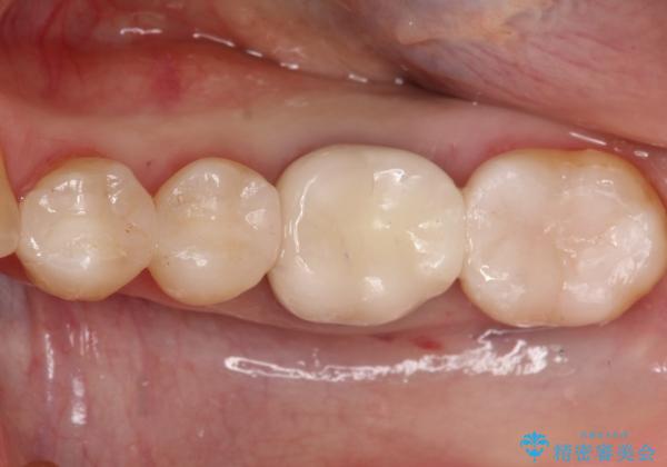
- 金属を外して白い歯を手に入れたいとのことで来院されました。
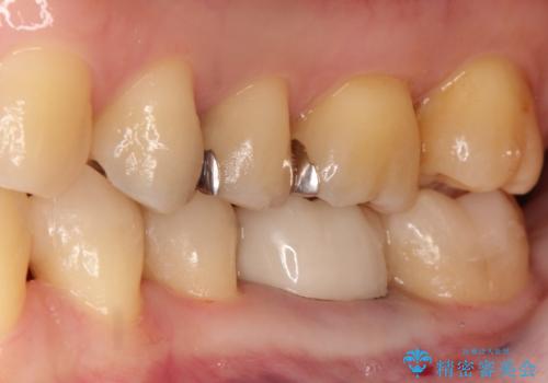
まとめて治療することで通院回数を減らすことができ、見た目も大変満足していただきました。
- 費用(概算)
- 49万円費用は治療当時の料金となります
治療について
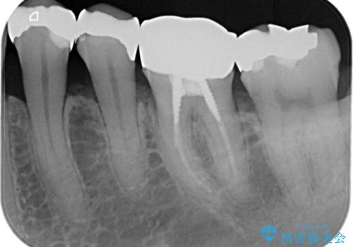
根管治療歯は破折防止のため速やかに被せ物が必要になります。
セラミック治療の注意事項(リスク・副作用など)
- 天然歯を削ります
- 硬い素材は天然歯を傷つけてしまう場合があります
- かみ合わせや歯ぎしりが強すぎる方はセラミックが割れてしまう可能性があります
- 自費診療(保険適用外治療)となります
当サイトの内容、テキスト、画像等の無断転載、複製、複写、盗用を固く禁じます。







