症例詳細
Case detail
歯肉移植(FGG)による角化歯肉の獲得で長持ちするインプラントへ 50代男性
- 患者様
- 50代男性
- 治療期間
- 2年1ヶ月
- 治療回数
- 5-10回
- 治療計画
- 歯がないまま放置しており咬めないことを主訴に来院された患者様です。
仕事が忙しくなかなか自分のことに気が回らなかったそうですが、どんどん歯が抜け落ちて「もう限界だ!」と思い受診を決断したとのことでした。
精査したところ、全顎的な重度の歯周病により左上臼歯部は残根(左上6)を残してすべて欠損していました。
禁煙指導と歯周病治療後、左上臼歯部のソケットリフト(上顎洞底挙上術)及びインプラント治療(左上457埋入)を行いました。
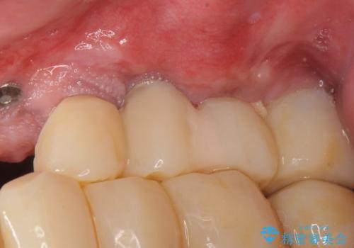
インプラントが長持ちするように、角化歯肉(歯ブラシが当たっても痛くない固くしっかりした歯茎)の移植(遊離歯肉移植術:FGG)も行いました。
- 費用(概算)
- ¥1,617,000 (ソケットリフト、遊離歯肉移植術、インプラント×3本、アバットメント×3本、仮歯×4本、クラウン×4本) ※税込費用は治療当時の料金となります
治療について
奥歯でしっかりと咬むことができるようになり、喜んで頂けました。
治療終了後には「なんでも食べられるようにしてくれてありがとうございます!」とおっしゃって下さいました。
角化歯肉の移植により、ブラッシング時の歯ぐきの痛みもなくセルフコントロールも良好です。
インプラントの種類:スプラインツイスト(HAコーティング)
固定様式:スクリュー固定
クラウンの種類:ベレッツァクラウン
※右下大臼歯部の治療に関してはこちらです。→https://seimitsushinbi.jp/case/71884/
※右下小臼歯部の治療に関してはこちらです。→https://seimitsushinbi.jp/case/71907/
※左下臼歯部の治療に関してはこちらです。→https://seimitsushinbi.jp/case/72027/
※右上臼歯部の治療に関してはこちらです。→https://seimitsushinbi.jp/case/72046/
※下顎前歯部の治療に関してはこちらです。→https://seimitsushinbi.jp/case/72063/
※上顎前歯部の治療に関してはこちらです。→https://seimitsushinbi.jp/case/72356/
インプラント治療の注意事項(リスク・副作用など)
- 外科手術のため、術後に痛みや腫れ、違和感を伴います
- メンテナンスを怠ったり喫煙により、お口の中に大きな悪影響を及ぼすインプラント周囲炎等にかかる可能性があります
- 糖尿病、肝硬変、心臓病等の場合、インプラント治療ができない可能性があります
- 高血圧、貧血・不整脈等の場合、インプラント治療後に治癒不全を招く可能性があります
- 自費診療(保険適用外治療)となります
セラミック治療の注意事項(リスク・副作用など)
- 天然歯を削ります
- 硬い素材は天然歯を傷つけてしまう場合があります
- かみ合わせや歯ぎしりが強すぎる方はセラミックが割れてしまう可能性があります
- 自費診療(保険適用外治療)となります
歯周病治療の注意事項(リスク・副作用など)
- 外科手術のため、術後に痛みや腫れ、違和感を伴います
- 歯周組織再生治療は患者様の状態によって術後の経過が異なります(見た目が改善しない場合もあります)
- 歯周組織再生治療は自費診療(保険適用外)となります
外科処置の注意事項(リスク・副作用など)
- 外科手術のため、術後に出血、痛みや腫れ、違和感を伴います
- 口腔内の状態によっては適応できないことがあります
当サイトの内容、テキスト、画像等の無断転載、複製、複写、盗用を固く禁じます。


















