症例詳細
Case detail
抜歯矯正の後戻りが気になる インビザライン・ライトによる矯正治療
治療症例の内容
- 診療科目
- 担当医
- 藤巻太一朗(ドクタープロフィール)
- 患者様
- 40代男性
- 矯正装置
- インビザライン・ライト
- 治療期間
- 1年
- 治療回数
- 10-30回
- 治療計画
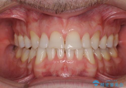
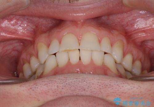
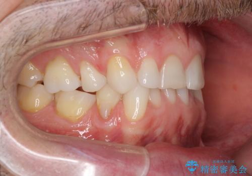
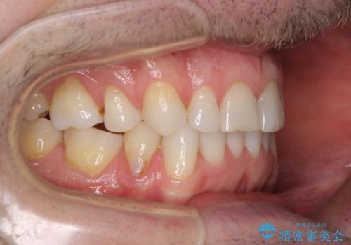
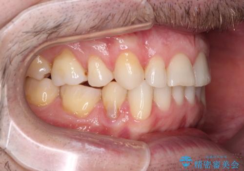
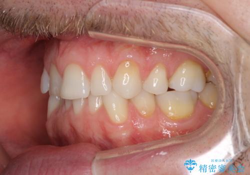
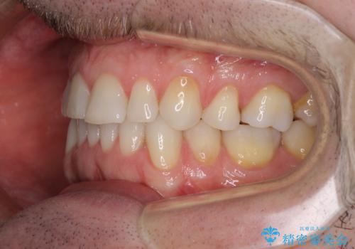
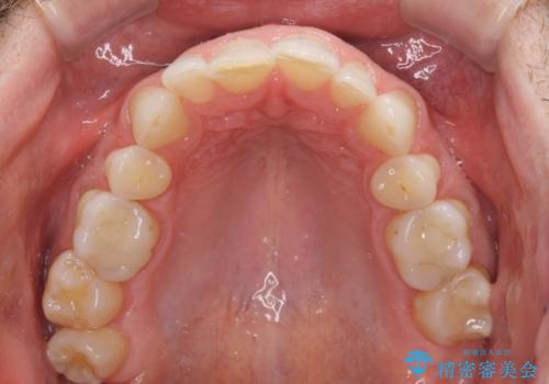
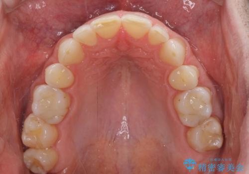
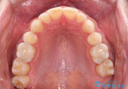
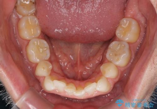
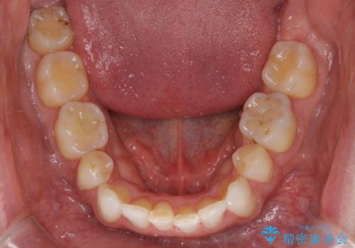
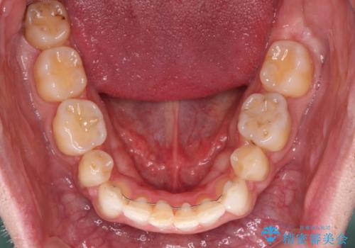
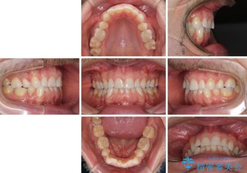
- 上下前歯の叢生を気にして来院された患者様です。
抜歯矯正をした後戻りということで、歯列不正はそれほど大きくなかったため、インビザライン・ライトを用いて矯正治療を行うこととしました。
- 費用(概算)
- 治療費の目安: 50万円(税込)費用は治療当時の料金となります
治療について
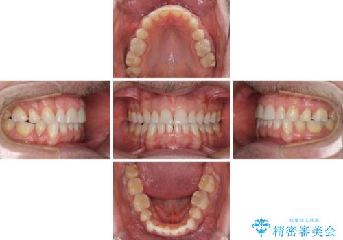
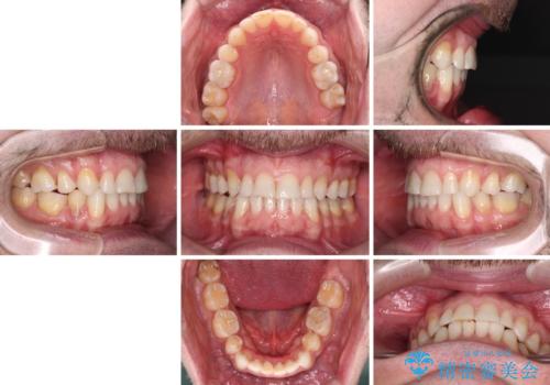
インビザラインは1日に22時間を目安に装着していただきますが、装着時間が十分でないとシミュレーション通りに動かないことがあります。
前歯のデコボコが残っており、シミュレーション通りに動いていない部分がありましたが、再矯正であることやご本人の満足いくところまでデコボコが改善されたとのことで、治療を終了することとしました。
マウスピース矯正の注意事項(リスク・副作用など)
- 口腔内・歯並びの状態によっては対応できない場合があります
- マウスピース型矯正装置の長時間装着(1日20時間以上)が必須です
- 治療計画通りに進めるためには、患者様の意志が重要になります
- 矯正治療後の保定が不十分だと後戻り(元の位置に戻ろうとする動き)をします
- 薬機法対象外の矯正歯科装置のため医薬品副作用被害救済制度の対象外となる場合があります
- 自費診療(保険適用外)となります
当サイトの内容、テキスト、画像等の無断転載、複製、複写、盗用を固く禁じます。



























