症例詳細
Case detail
セラミックとゴールド 奥歯のむし歯治療
治療症例の内容
- 診療科目
- 治療カテゴリ
- 担当医
- 藤巻太一朗(ドクタープロフィール)
- 患者様
- 30代女性
- 治療期間
- 1ヶ月
- 治療回数
- 2-5回
- 治療計画
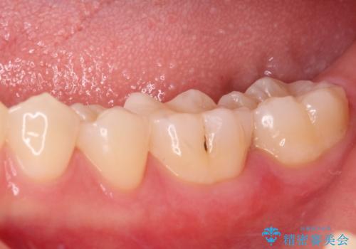
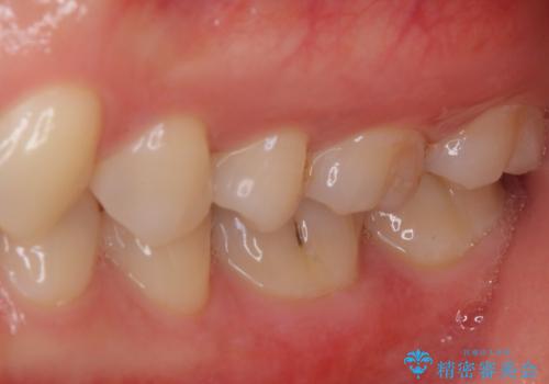
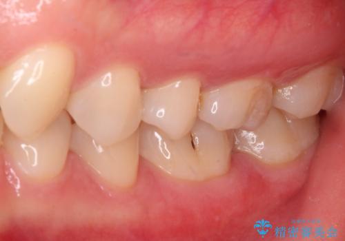
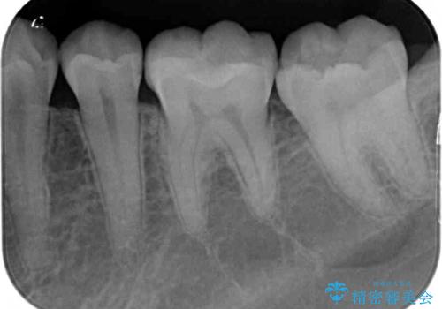
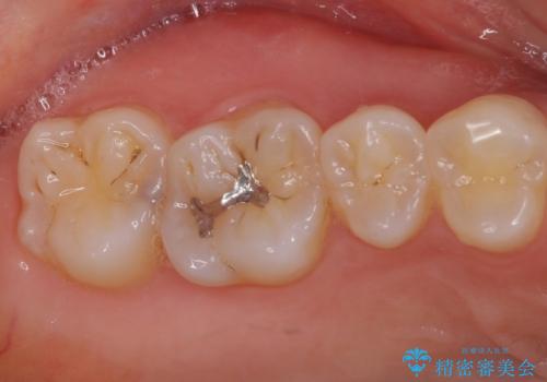
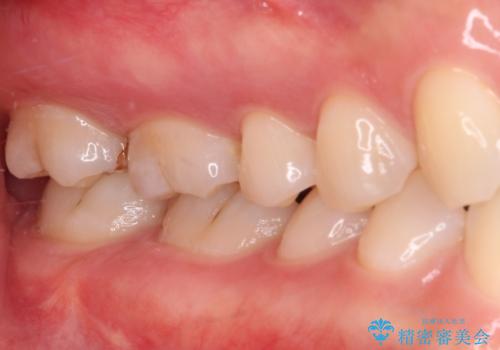
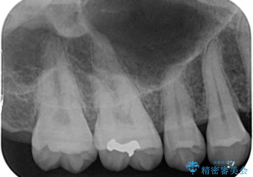
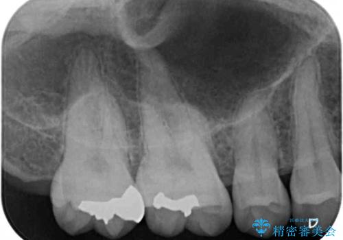
- 奥歯の銀歯と虫歯を気にして来院された患者様です。
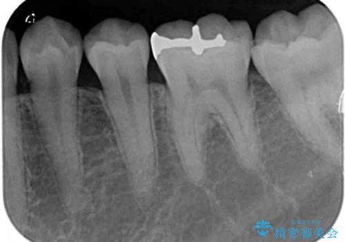
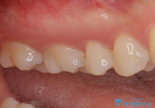
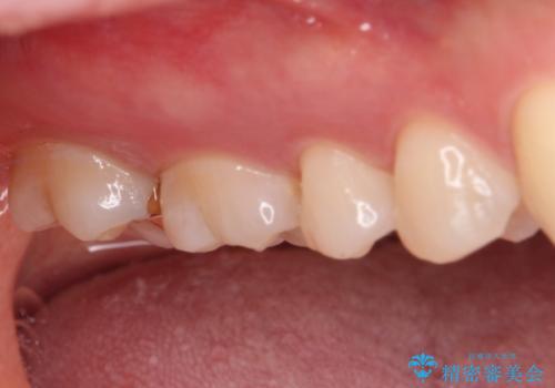
下顎は口を開けたときに目立つためセラミックインレーに、上顎奥歯は機能面を優先してゴールドインレーにて修復治療を行うこととしました。
- 費用(概算)
- 治療費の目安: 15万円(税込)費用は治療当時の料金となります
治療について
機能面を優先すると、PGAインレー(ゴールドインレー)による修復治療やPGAクラウンによる補綴治療が望ましいのですが、笑ったときに見えている銀歯がどうしても気なってしまうとのことで、目立ってしまう奥歯はセラミックインレーやセラミッククラウンを装着することとしました。
見た目を気にすることなくむし歯治療を行うことができ、患者様に大変満足していただきました。
PGA(ゴールド)クラウン、インレーの注意事項(リスク・副作用など)
- インレーおよびクラウンは脱離するリスクがあります
- 形成量はセラミックより少ないですが、歯の形成、修復後に歯に症状が出ることがあります
- 自費診療(保険適用外治療)となります
セラミック治療の注意事項(リスク・副作用など)
- 天然歯を削ります
- 硬い素材は天然歯を傷つけてしまう場合があります
- かみ合わせや歯ぎしりが強すぎる方はセラミックが割れてしまう可能性があります
- 自費診療(保険適用外治療)となります
当サイトの内容、テキスト、画像等の無断転載、複製、複写、盗用を固く禁じます。
















