症例詳細
Case detail
骨が薄く難しい上の奥歯のインプラント 50代男性
治療症例の内容
- 患者様
- 50代男性
- 治療期間
- 2年
- 治療回数
- 5-10回
- 治療計画
- 奥歯がぐらぐらで咬めないことを主訴に来院された患者様です。
仕事が忙しくなかなか自分のことに気が回らなかったそうですが、どんどん歯の動揺が増し「もう限界だ!」と思い受診を決断したとのことでした。
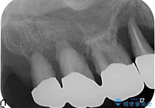
精査したところ、全顎的な重度歯周病による右上のブリッジ(右上⑧⑦⑥⑤4③)の著しい動揺を認めました。
2回目の来院時には自然脱落したとのことで右上臼歯はなくなっていました。
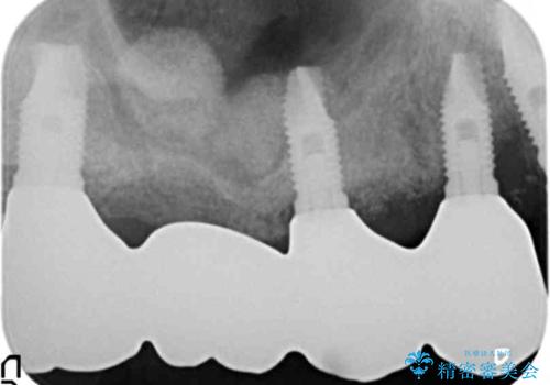
禁煙指導と歯周病治療後、右上臼歯部のソケットリフト及びインプラント治療(右上7654埋入)を行いました。
右上6欠損部の骨が極端に薄くアバットメント装着後に動揺が出たため、右上6フィクスチャーは除去しております。
(手術時に生着しない可能性を予見し患者様にも事前に説明を行っておりました。)
- 費用(概算)
- ¥1,452,000 (ソケットリフト、インプラント×3本、土台×3本、仮歯×4本、クラウン×4本) ※税込費用は治療当時の料金となります
治療について
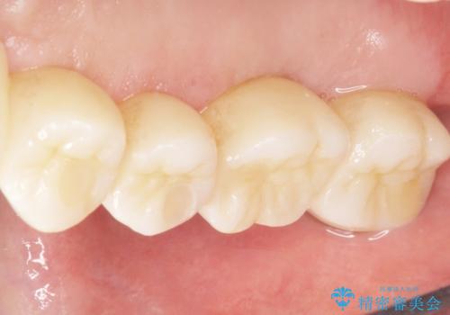
奥歯でしっかりと咬むことができるようになり、喜んで頂けました。
治療終了後には「なんでも食べられるようにしてくれてありがとうございます!」とおっしゃって下さいました。
インプラントの種類:スプラインツイスト(HAコーティング)
固定様式:スクリュー固定
クラウンの種類:ベレッツァクラウン
※右下大臼歯部の治療に関してはこちらです。→https://seimitsushinbi.jp/case/71884/
※右下小臼歯部の治療に関してはこちらです。→https://seimitsushinbi.jp/case/71907/
※左下臼歯部の治療に関してはこちらです。→https://seimitsushinbi.jp/case/72027/
※下顎前歯の治療に関してはこちらです。→https://seimitsushinbi.jp/case/72063/
※左上臼歯部の治療に関してはこちらです。→https://seimitsushinbi.jp/case/72337/
※上顎前歯部の治療に関してはこちらです。→https://seimitsushinbi.jp/case/72356/
インプラント治療の注意事項(リスク・副作用など)
- 外科手術のため、術後に痛みや腫れ、違和感を伴います
- メンテナンスを怠ったり喫煙により、お口の中に大きな悪影響を及ぼすインプラント周囲炎等にかかる可能性があります
- 糖尿病、肝硬変、心臓病等の場合、インプラント治療ができない可能性があります
- 高血圧、貧血・不整脈等の場合、インプラント治療後に治癒不全を招く可能性があります
- 自費診療(保険適用外治療)となります
セラミック治療の注意事項(リスク・副作用など)
- 天然歯を削ります
- 硬い素材は天然歯を傷つけてしまう場合があります
- かみ合わせや歯ぎしりが強すぎる方はセラミックが割れてしまう可能性があります
- 自費診療(保険適用外治療)となります
当サイトの内容、テキスト、画像等の無断転載、複製、複写、盗用を固く禁じます。














