症例詳細
Case detail
歯がぐらぐらで咬めない 奥歯のインプラント 50代男性
治療症例の内容
- 患者様
- 50代男性
- 治療期間
- 2年
- 治療計画
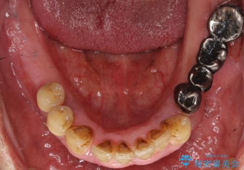
- 奥歯がぐらぐらで咬めないことを主訴に来院された患者様です。
仕事が忙しくなかなか自分のことに気が回らなかったそうですが、どんどん歯の動揺が増し「もう限界だ!」と思い受診を決断したとのことでした。
精査したところ、全顎的な重度の歯周病により左下のブリッジ(左下④56⑦)の著しい動揺を認めました。
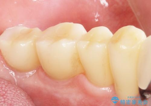
禁煙指導と歯周病治療後、左下臼歯部(左下467埋入)のインプラント治療を行いました。
インプラントの埋入は、抜歯後4ヶ月程度骨の治癒を待ったり、骨が少ない部分に関しては骨増生を行ったりして順次行いました。
- 費用(概算)
- ¥1,287,000 (インプラント×3本、骨増生、土台×3本、仮歯×4本、クラウン×4本) ※税込費用は治療当時の料金となります
治療について
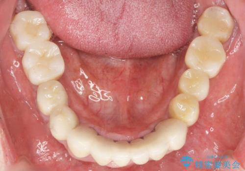
奥歯で咬むことができるようになり、喜んで頂けました。
治療終了後には「なんでも食べられるようにしてくれてありがとうございます!」とおっしゃって下さいました。
インプラントの種類:スプラインツイスト(HAコーティング)
固定様式:スクリュー固定
クラウンの種類:ベレッツァクラウン
※右下大臼歯部の治療に関してはこちらです。→https://seimitsushinbi.jp/case/71884/
※右下小臼歯部の治療に関してはこちらです。→https://seimitsushinbi.jp/case/71907/
※右上臼歯部の治療に関してはこちらです。→https://seimitsushinbi.jp/case/72046/
※下顎前歯の治療に関してはこちらです。→https://seimitsushinbi.jp/case/72063/
※左上臼歯部の治療に関してはこちらです。→https://seimitsushinbi.jp/case/72337/
※上顎前歯部の治療に関してはこちらです。→https://seimitsushinbi.jp/case/72356/
インプラント治療の注意事項(リスク・副作用など)
- 外科手術のため、術後に痛みや腫れ、違和感を伴います
- メンテナンスを怠ったり喫煙により、お口の中に大きな悪影響を及ぼすインプラント周囲炎等にかかる可能性があります
- 糖尿病、肝硬変、心臓病等の場合、インプラント治療ができない可能性があります
- 高血圧、貧血・不整脈等の場合、インプラント治療後に治癒不全を招く可能性があります
- 自費診療(保険適用外治療)となります
セラミック治療の注意事項(リスク・副作用など)
- 天然歯を削ります
- 硬い素材は天然歯を傷つけてしまう場合があります
- かみ合わせや歯ぎしりが強すぎる方はセラミックが割れてしまう可能性があります
- 自費診療(保険適用外治療)となります
当サイトの内容、テキスト、画像等の無断転載、複製、複写、盗用を固く禁じます。


















