症例詳細
Case detail
保険の被せ物をきれいにしたい オールセラミック
治療症例の内容
- 診療科目
- 治療カテゴリ
- 担当医
- 河野裕二(ドクタープロフィール)
- 患者様
- 20代女性
- 治療期間
- 3ヶ月
- 治療回数
- 2-5回
- 治療計画
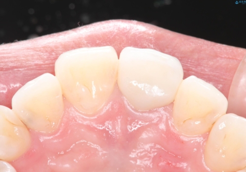
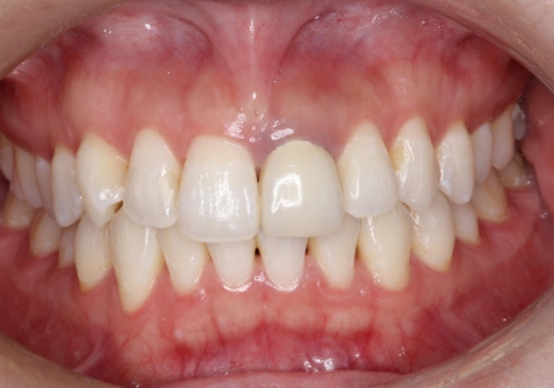
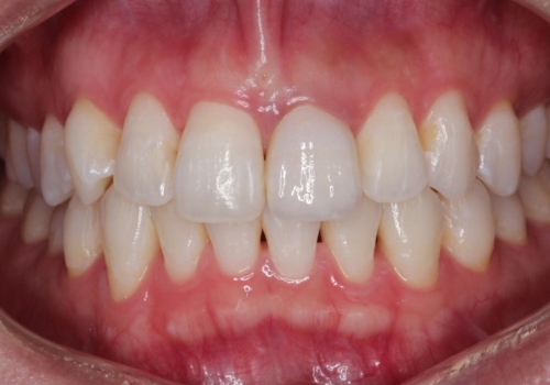
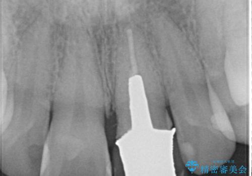
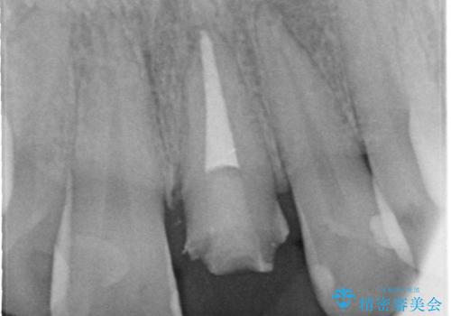
- 左上の前歯の形や色が気になる。
保険の前歯の被せ物のやりかえを希望して来院
- 費用(概算)
- 28.6万円(内訳:根管治療11万円、土台2.2万円、仮歯1.1万円、オールセラミック[スペシャル]14.3万円)費用は治療当時の料金となります
治療について
色や形など自然な仕上がりにご満足いただけました。
セラミック治療の注意事項(リスク・副作用など)
- 天然歯を削ります
- 硬い素材は天然歯を傷つけてしまう場合があります
- かみ合わせや歯ぎしりが強すぎる方はセラミックが割れてしまう可能性があります
- 自費診療(保険適用外治療)となります
当サイトの内容、テキスト、画像等の無断転載、複製、複写、盗用を固く禁じます。








