症例詳細
Case detail
歯がぐらぐら 再生療法で抜かずに残す 50代男性
- 患者様
 - 50代男性
 
- 治療期間
 - 1年8ヶ月
 
- 治療回数
 - 5-10回
 
- 治療計画
 - 歯がないまま放置しており咬めないことを主訴に来院された患者様です。
仕事が忙しくなかなか自分のことに気が回らなかったそうですが、どんどん歯が抜け落ちて「もう限界だ!」と思い受診を決断したとのことでした。
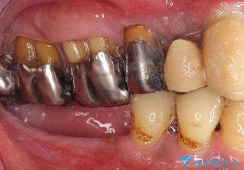
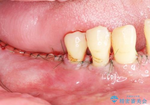
精査したところ、全顎的な重度の歯周病により右下の小臼歯(右下4)激しい動揺を認めました。
できるだけ自分の歯を残したいという患者様の強いご希望により、禁煙指導後再生療法(骨を増やす手術))を行いました。
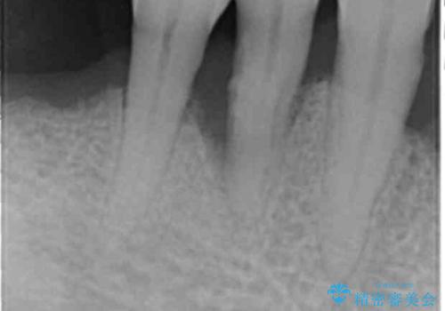
再生療法から1年後リエントリー手術により骨の再生を確認し、骨外科処置(骨を平らにして歯周ポケットの根本的な改善を図る処置)を行ったのち、連結補綴を行いました。
 
- 費用(概算)
 - ¥495,000 (再生療法、骨外科処置、仮歯、クラウン 各2本) ※税込費用は治療当時の料金となります
 
治療について
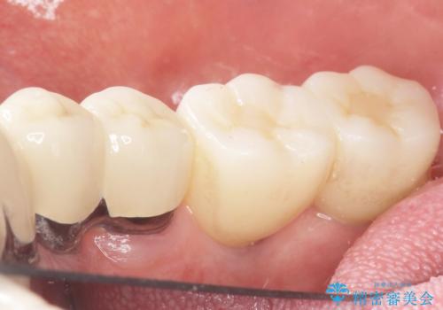
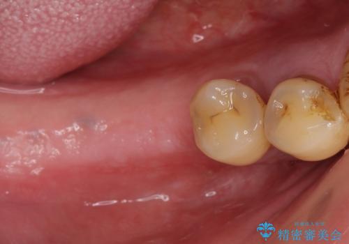
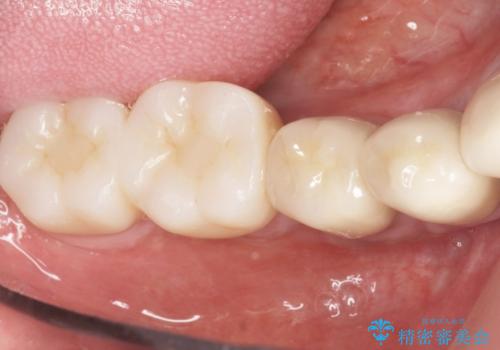
再生療法と骨外科処置により、歯周ポケットは全周2mm以下に改善されました。
保存が難しいと思われた歯を残すことができ、患者様にご満足頂けました。
歯周病治療と連結補綴により歯の動揺がなくなり、「なんでも食べられます!」と喜んで下さいました。
クラウンの種類:メタルボンドクラウン エコノミー
※右下大臼歯部の治療に関してはこちらです。→https://seimitsushinbi.jp/case/71884/
※左下臼歯部の治療に関してはこちらです。→https://seimitsushinbi.jp/case/72027/
※右上臼歯部の治療に関してはこちらです。→https://seimitsushinbi.jp/case/72046/
※下顎前歯の治療に関してはこちらです。→https://seimitsushinbi.jp/case/72063/
※左上臼歯部の治療に関してはこちらです。→https://seimitsushinbi.jp/case/72337/
※上顎前歯部の治療に関してはこちらです。→https://seimitsushinbi.jp/case/72356/
歯周病治療の注意事項(リスク・副作用など)
- 外科手術のため、術後に痛みや腫れ、違和感を伴います
 - 歯周組織再生治療は患者様の状態によって術後の経過が異なります(見た目が改善しない場合もあります)
 - 歯周組織再生治療は自費診療(保険適用外)となります
 
セラミック治療の注意事項(リスク・副作用など)
- 天然歯を削ります
 - 硬い素材は天然歯を傷つけてしまう場合があります
 - かみ合わせや歯ぎしりが強すぎる方はセラミックが割れてしまう可能性があります
 - 自費診療(保険適用外治療)となります
 
当サイトの内容、テキスト、画像等の無断転載、複製、複写、盗用を固く禁じます。

                      
                                                          















