症例詳細
Case detail
歯肉にできものがある、根管治療からセラミッククラウンまで
治療症例の内容
- 患者様
- 30代女性
- 治療期間
- 2ヶ月
- 治療回数
- 2-5回
- 治療計画
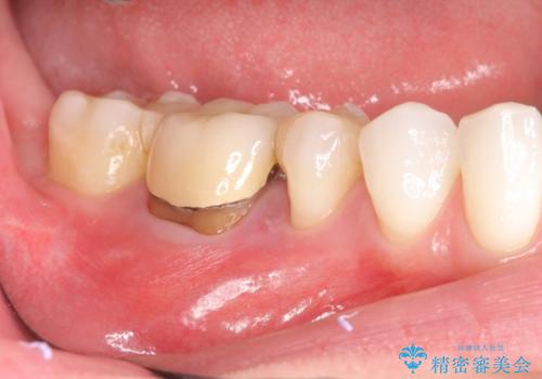
- 歯肉にできものがあるのを気にされて来院されました。
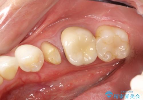
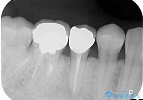
右下5,6間にフィステル(瘻孔)を認めました。デンタルより、右下5根尖に透過像を認め、フィステルに材料を入れてレントゲンにて確認したところ、右下5の根尖に到達しました。
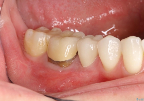
右下5の神経は失活してしまっているため、根管治療の必要性を説明の上、根管治療をした後セラミッククラウンを入れていくこととなりました。
- 費用(概算)
- 20万円費用は治療当時の料金となります
治療について
患者さんに確認したところ、今回の右下5は痛みを覚えた記憶はなかったそうです。
神経が死んでしまうときは、多くは痛みを伴うことが多いですが、今回のように気づいたら死んでしまっているというケースもあります。その場合、なかなか自覚症状なく病気が進行してしまうこともあるため、定期的にメンテナンス、レントゲンによる確認をすることが大切です。
セラミック治療の注意事項(リスク・副作用など)
- 天然歯を削ります
- 硬い素材は天然歯を傷つけてしまう場合があります
- かみ合わせや歯ぎしりが強すぎる方はセラミックが割れてしまう可能性があります
- 自費診療(保険適用外治療)となります
根管治療の注意事項(リスク・副作用など)
- 根管治療により類似の全ての症例の問題が解決するわけではなく、症例はあくまでも一例です
- 根管治療により痛みや腫れがひかない事や、術後に痛みや腫れが生じる事、治療によるファイル破折やパーフォレーションなどの偶発症、術後の歯根破折を生じる可能性もあります
- 自費診療(保険適用外)となります
当サイトの内容、テキスト、画像等の無断転載、複製、複写、盗用を固く禁じます。







