症例詳細
Case detail
目立ちにくい抜歯矯正 ハーフリンガル
治療症例の内容
- 診療科目
- 担当医
- 藤巻太一朗(ドクタープロフィール)
- 患者様
- 20代女性
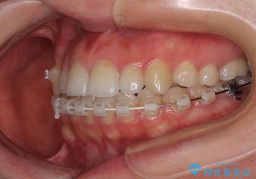
- 矯正装置
- ハーフリンガル
- 治療期間
- 1年4ヶ月
- 治療回数
- 10-30回
- 治療計画
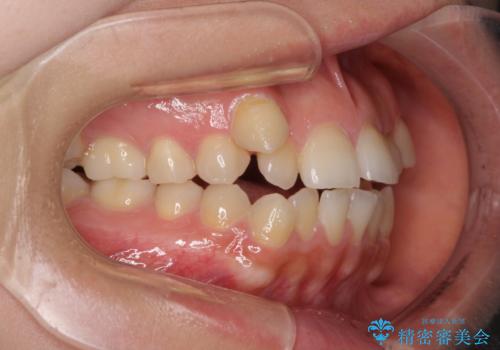
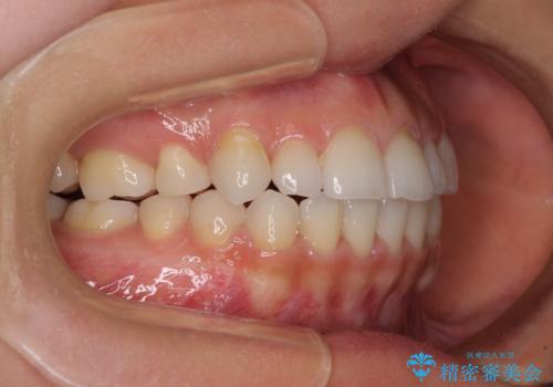
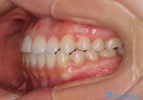
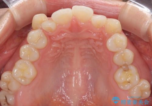
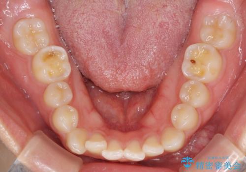
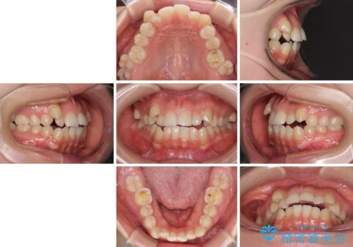
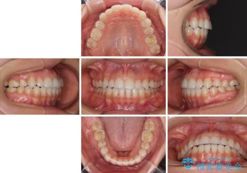
- 前歯のデコボコや八重歯、舌癖による開咬を気にして来院された患者様です。
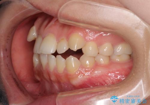
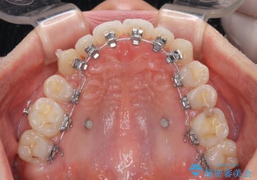
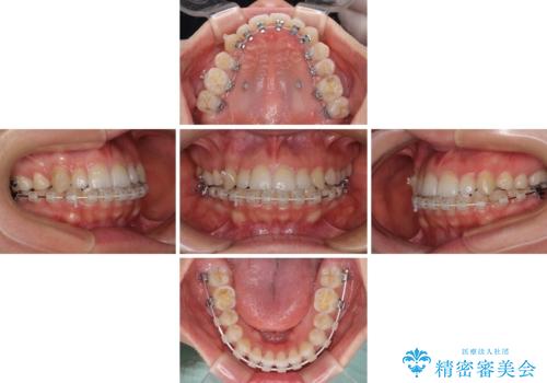
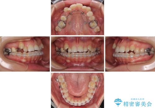
目立たない装置を希望されたので、上顎が裏側装置のハーフリンガルを選択し、上顎小臼歯1本を抜歯して、補助装置を併用して矯正治療を行うこととしました。
- 費用(概算)
- 治療費の目安: 135万円(税込)費用は治療当時の料金となります
治療について
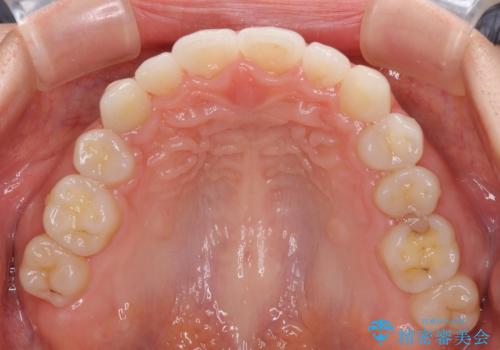
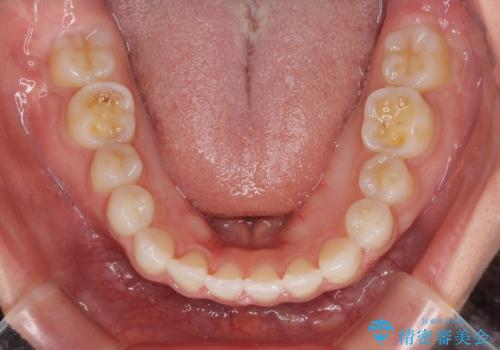
補助装置を事前に使用したことで、あっという間に八重歯が改善し、ハーフリンガルにしては1年半もかからずに治療を終えることができました。
ワイヤー矯正の注意事項(リスク・副作用など)
- 治療中は違和感や痛みが起こることがあります
- 症状により、抜歯が必要な場合があります
- 治療中は歯磨きがしにくくなるため、虫歯や歯周病になりやすくなります
- 矯正治療後の保定が不十分だと後戻り(元の位置に戻ろうとする動き)をします
- 自費診療(保険適用外)となります
当サイトの内容、テキスト、画像等の無断転載、複製、複写、盗用を固く禁じます。



























