症例詳細
Case detail
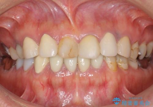
被せ物を入れたばかりの歯が痛む 40代女性
治療症例の内容
- 診療科目
- 治療カテゴリ
- 担当医
- 患者様
- 40代女性
- 治療期間
- 2ヶ月
- 治療回数
- 2-5回
- 治療計画
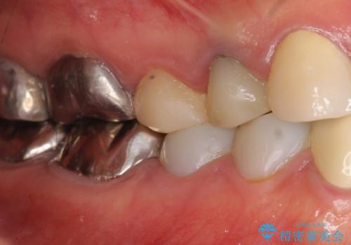
- 他院で被せ物を入れたばかりの歯が痛むことを主訴に来院された患者様です。
「様子を見ましょう」と言われ何もしてもらえず、痛みが続き不安になってしまったとのことでした。
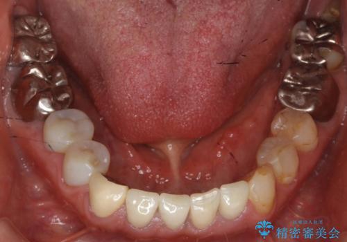
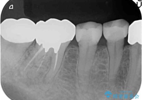
精査したところ、被せ物を入れたばかりの右下の小臼歯(右下5)は不可逆性歯髄炎により神経をとる処置(抜髄)が必要な状態でした。
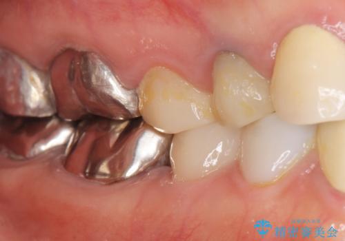
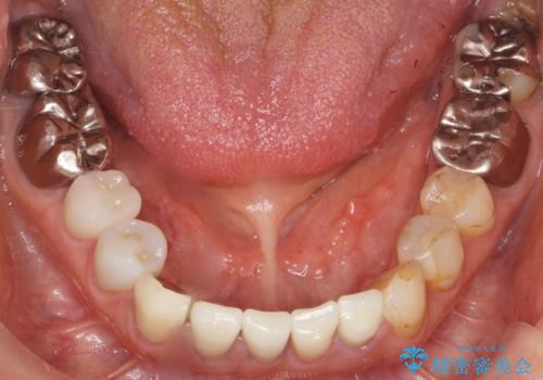
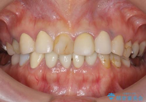
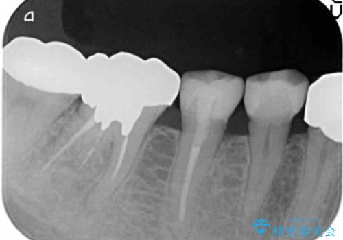
根管治療後、セラミッククラウンによる補綴治療を行いました。
- 費用(概算)
- ¥198,000 (根管治療、土台、仮歯、クラウン) ※税込費用は治療当時の料金となります
治療について
根管治療により痛みがなくなり、ご安心頂けました。
セラミッククラウンの自然な仕上がりにも喜んで下さいました。
クラウンの種類:オールセラミッククラウン エコノミー
セラミック治療の注意事項(リスク・副作用など)
- 天然歯を削ります
- 硬い素材は天然歯を傷つけてしまう場合があります
- かみ合わせや歯ぎしりが強すぎる方はセラミックが割れてしまう可能性があります
- 自費診療(保険適用外治療)となります
当サイトの内容、テキスト、画像等の無断転載、複製、複写、盗用を固く禁じます。














