症例詳細
Case detail
前歯のすき間 セラミックで綺麗に 最短で治療
治療症例の内容
- 診療科目
- 治療カテゴリ
- 担当医
- 井上季実子(ドクタープロフィール)
- 患者様
- 20代男性
- 治療期間
- 2ヶ月
- 治療回数
- 2-5回
- 治療計画
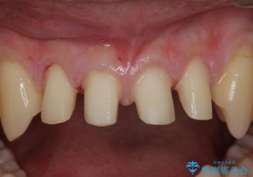
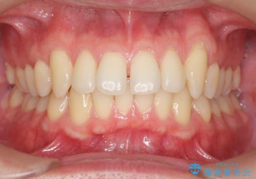
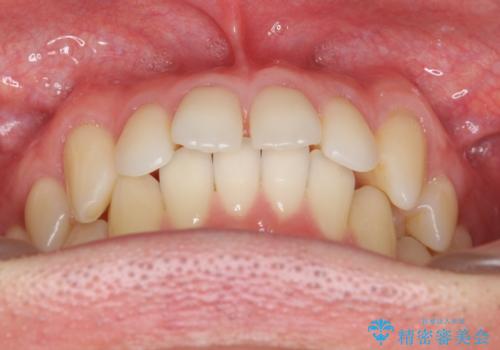
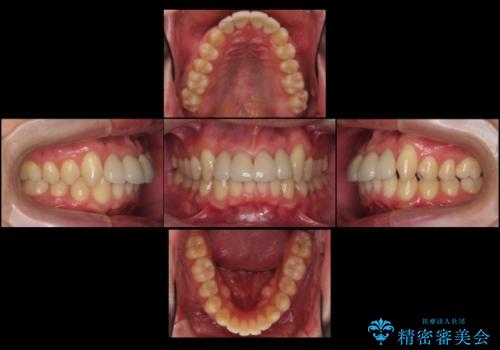
- 前歯のすき間を気にして来院。
矯正治療か、セラミックで最短で治すかの選択肢を提示し、セラミックで治すことにしました。
利点は、早く終わる上に、保定の必要がないため負担が少ないことが挙げられます。
ただし、セラミックは欠ける特性があるため、夜はナイトガードを使用していただくことにしました。
- 費用(概算)
- 51.7万円 (ジルコニアクラウン スタンダード11万円x4本、仮歯1.1万円x4本、ナイトガード 3.3万円)税込費用は治療当時の料金となります
治療について
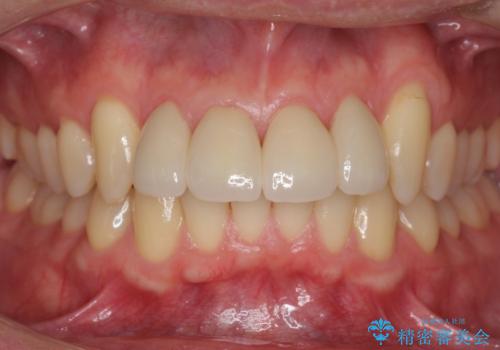
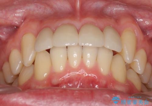
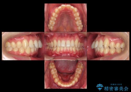
全て神経は取らずに、削りました。
長年コンプレックスだったすき間が閉じたとのことで、喜んでいただきました。
セラミック治療の注意事項(リスク・副作用など)
- 天然歯を削ります
- 硬い素材は天然歯を傷つけてしまう場合があります
- かみ合わせや歯ぎしりが強すぎる方はセラミックが割れてしまう可能性があります
- 自費診療(保険適用外治療)となります
当サイトの内容、テキスト、画像等の無断転載、複製、複写、盗用を固く禁じます。


















