症例詳細
Case detail
小さい前歯を整える セラミック矯正
治療症例の内容
- 診療科目
- 治療カテゴリ
- 担当医
- 井上季実子(ドクタープロフィール)
- 患者様
- 30代女性
- 治療期間
- 2ヶ月
- 治療回数
- 2-5回
- 治療計画
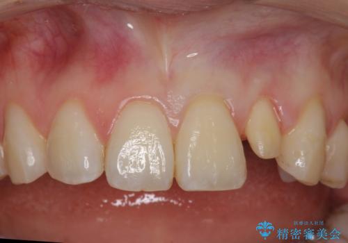
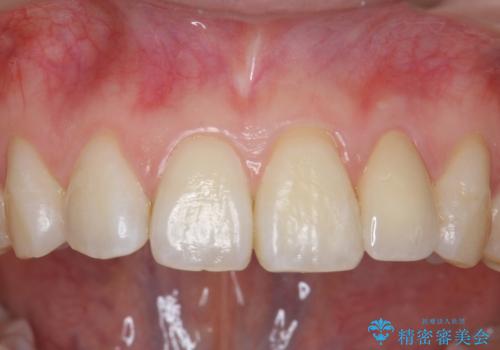
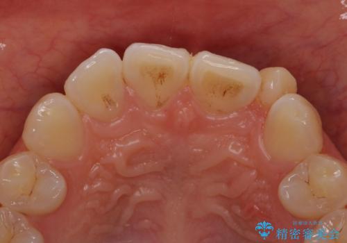
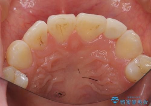
- 左上の前歯が生まれつき小さく、前に飛び出していました。
矯正治療で引っ込めてから、形を左右対称に整えるセラミック治療を行いました。
- 費用(概算)
- 15.4万円 (ジルコニアクラウンスペシャル 14.3万円、仮歯1.1万円) 税込、 矯正治療は別途費用は治療当時の料金となります
治療について
矯正治療と併用することで、劇的に見た目を改善することができます!
セラミック治療の注意事項(リスク・副作用など)
- 天然歯を削ります
- 硬い素材は天然歯を傷つけてしまう場合があります
- かみ合わせや歯ぎしりが強すぎる方はセラミックが割れてしまう可能性があります
- 自費診療(保険適用外治療)となります
当サイトの内容、テキスト、画像等の無断転載、複製、複写、盗用を固く禁じます。








