症例詳細
Case detail
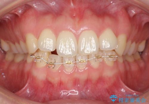
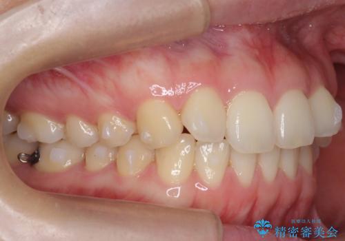
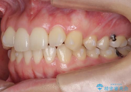
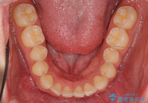
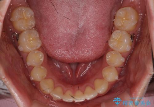
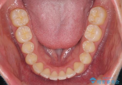
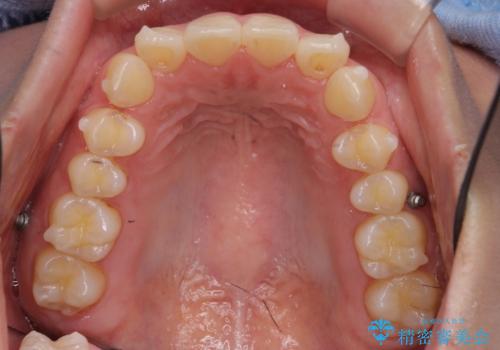
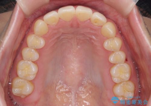
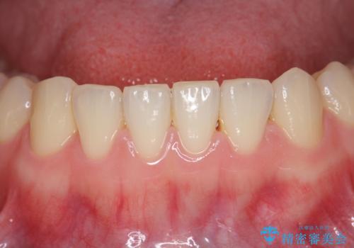
下の前歯が1本短い インビザラインと部分矯正の組み合わせ
治療症例の内容
- 患者様
- 20代女性
- 矯正装置
- インビザライン、ワイヤー矯正併用
- 治療期間
- 1年4ヶ月
- 治療回数
- 10-30回
- 治療計画
- 前歯のガタつきと、下の前歯が一本短いことを主訴に来院。
インビザラインのマウスピースではめる装置で歯を引っ張り出すことは難しいと説明し、下の前歯だけワイヤー部分矯正を行ってからインビザライン矯正で仕上げをしました。
- 費用(概算)
- 100万円 (インビザライン85万円 部分矯正・付加装置15万円) 費用は治療当時の料金となります
治療について
周りには気にしなくていいのではと言われていたが、やってよかったと非常に満足されていました。
難しい部分を短期間ワイヤー矯正を行ってからのインビザラインは、全体治療が短くなるだけでなく、仕上がりもよくなるのでオススメです。
マウスピース矯正の注意事項(リスク・副作用など)
- 口腔内・歯並びの状態によっては対応できない場合があります
- マウスピース型矯正装置の長時間装着(1日20時間以上)が必須です
- 治療計画通りに進めるためには、患者様の意志が重要になります
- 矯正治療後の保定が不十分だと後戻り(元の位置に戻ろうとする動き)をします
- 薬機法対象外の矯正歯科装置のため医薬品副作用被害救済制度の対象外となる場合があります
- 自費診療(保険適用外)となります
ワイヤー矯正の注意事項(リスク・副作用など)
- 治療中は違和感や痛みが起こることがあります
- 症状により、抜歯が必要な場合があります
- 治療中は歯磨きがしにくくなるため、虫歯や歯周病になりやすくなります
- 矯正治療後の保定が不十分だと後戻り(元の位置に戻ろうとする動き)をします
- 自費診療(保険適用外)となります
当サイトの内容、テキスト、画像等の無断転載、複製、複写、盗用を固く禁じます。


















