症例詳細
Case detail
低予算で銀歯を白くしたい 50代女性
治療症例の内容
- 診療科目
- 治療カテゴリ
- 担当医
- 患者様
- 50代女性
- 治療期間
- 3ヶ月
- 治療回数
- 2-5回
- 治療計画
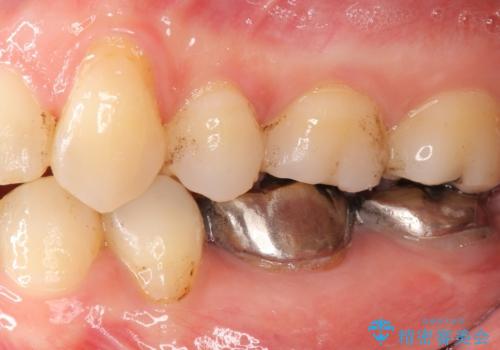
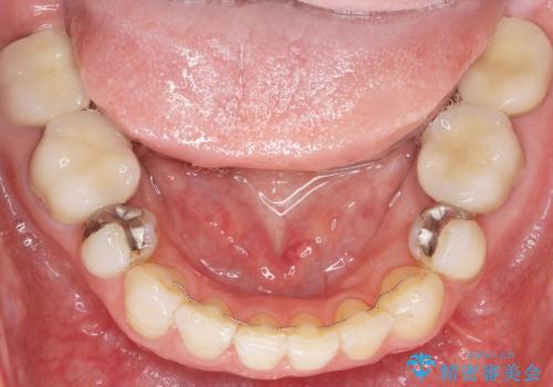
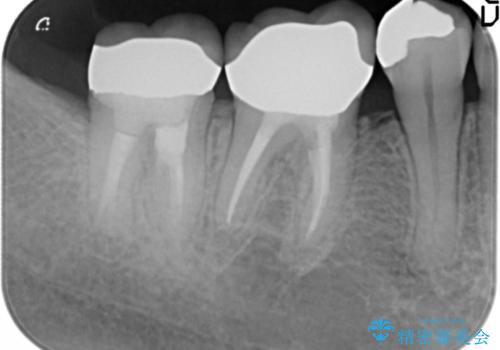
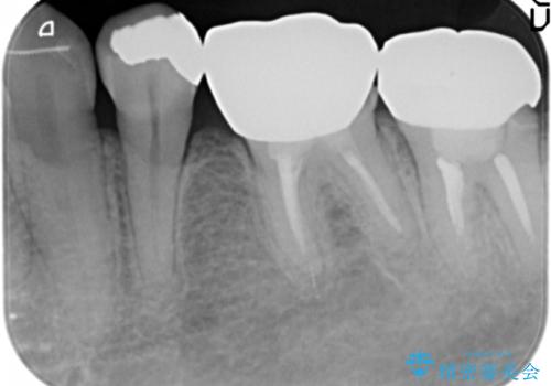
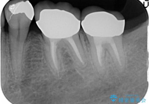
- 低予算で銀歯を白くしたいとご希望し来院された患者様です。
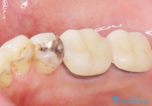
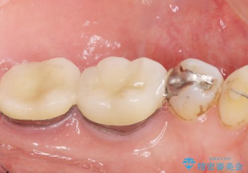
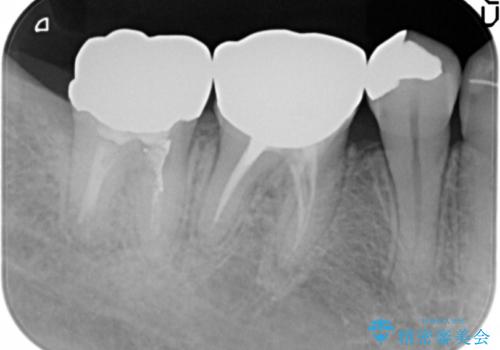
右上小臼歯(右上5)はオールセラミッククラウン(e-max press)、下顎臼歯(下顎両側67)はメタルボンドクラウンによりやりかえることにしました。
再根管治療はご希望されず、行っておりません。
- 費用(概算)
- ¥638,000 (仮歯×5本、土台×5本、クラウン×5本) ※税込費用は治療当時の料金となります
治療について
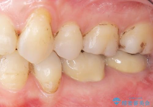
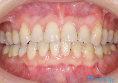
銀歯がなくなったとことで口元の印象が明るくなり、ご満足頂けました。
「これで大きく口を開けて笑っても大丈夫だわ!」と喜んで下さいました。
~クラウンの種類~
右上小臼歯(右上5):オールセラミッククラウン エコノミー
下顎両側臼歯(下顎両側67):メタルボンドクラウン エコノミー
セラミック治療の注意事項(リスク・副作用など)
- 天然歯を削ります
- 硬い素材は天然歯を傷つけてしまう場合があります
- かみ合わせや歯ぎしりが強すぎる方はセラミックが割れてしまう可能性があります
- 自費診療(保険適用外治療)となります
当サイトの内容、テキスト、画像等の無断転載、複製、複写、盗用を固く禁じます。



















