症例詳細
Case detail
「ブリッジのところで噛むと痛い」 神経組織が原因の咬合痛
治療症例の内容
- 診療科目
- 治療カテゴリ
- 担当医
- 大元洋佑(ドクタープロフィール)
- 患者様
- 40代女性
- 治療期間
- 2ヶ月
- 治療回数
- 2-5回
- 治療計画
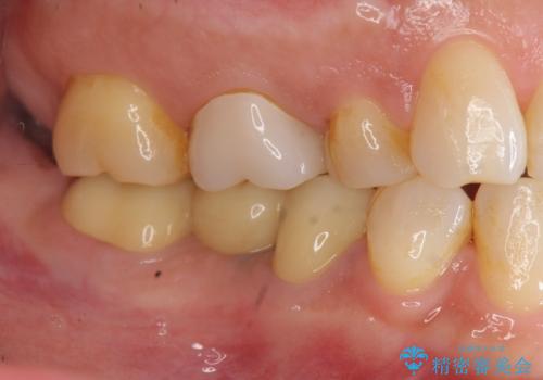
- 「以前治療して装着した右下のブリッジの部分で噛むと痛い、何もしなくても痛い」、と治療を希望され来院されました。
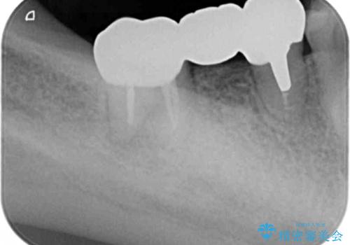
X線写真より歯の神経組織が壊死し、根尖周囲に病変を作り透過像を呈している状態でした。
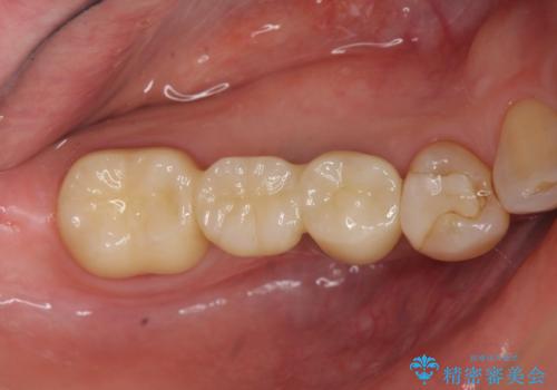
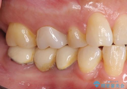
咬合痛の原因となっている右下第2大臼歯の根幹治療を行ったのち、強度に優れるフルジルコニアクラウンによる咬合機能回復を計画します。
- 費用(概算)
- 28.6万円(仮歯・フルジルコニアクラウン×3・ファイバーコア)費用は治療当時の料金となります
咬合痛の治療について
噛んで痛みが生じる場合歯が割れていたり、根尖周囲に病変があるような状況であることが多く見られます。
歯が割れている場合は抜歯、根尖周囲の病変は根管治療が治療の有力な選択肢の一つになります。
セラミック治療の注意事項(リスク・副作用など)
- 天然歯を削ります
- 硬い素材は天然歯を傷つけてしまう場合があります
- かみ合わせや歯ぎしりが強すぎる方はセラミックが割れてしまう可能性があります
- 自費診療(保険適用外治療)となります
当サイトの内容、テキスト、画像等の無断転載、複製、複写、盗用を固く禁じます。









