症例詳細
Case detail
保険治療で装着したかぶせ物のやりかえ セラミックによる自然な見た目へ
治療症例の内容
- 診療科目
- 治療カテゴリ
- 担当医
- 患者様
- 20代女性
- 治療期間
- 2ヶ月
- 治療回数
- 2-5回
- 治療計画
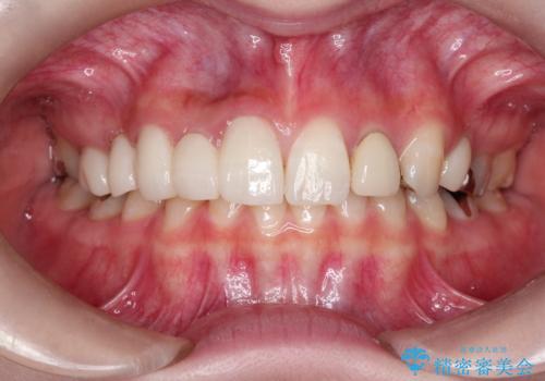
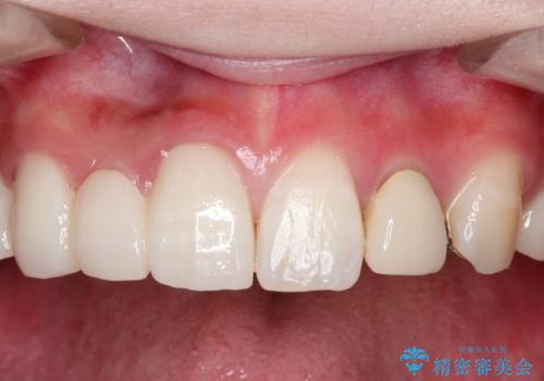
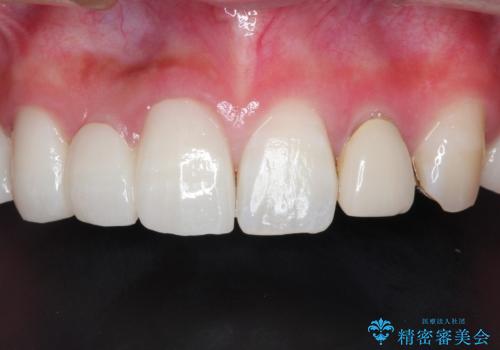
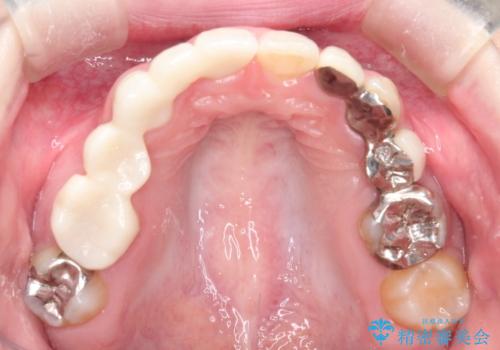
- 昔装着したかぶせ物が、不自然なのでやりかえたいとのことで来院されました。
前歯にレジン前装冠(保険内)が装着されており、自然な透明感がありません。
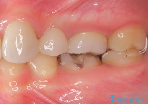
また奥歯にまたがるブリッジも金属のもので、適合もよくありませんでした。
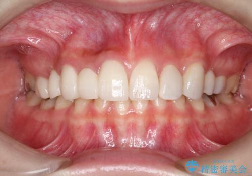
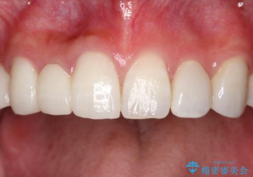
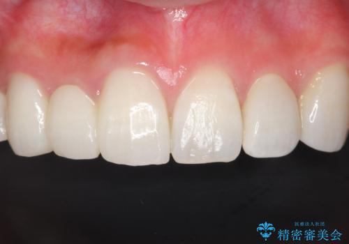
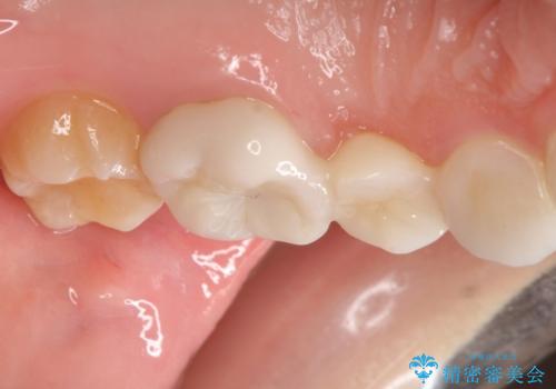
オールセラミックによるやりかえを行いました。
- 費用(概算)
- 約60万円費用は治療当時の料金となります
治療について
色調もまわりの歯に合わせて、形態も患者様のご希望に沿うように製作させていただきました。
セラミック治療の注意事項(リスク・副作用など)
- 天然歯を削ります
- 硬い素材は天然歯を傷つけてしまう場合があります
- かみ合わせや歯ぎしりが強すぎる方はセラミックが割れてしまう可能性があります
- 自費診療(保険適用外治療)となります
当サイトの内容、テキスト、画像等の無断転載、複製、複写、盗用を固く禁じます。


















