症例詳細
Case detail
他院で仮歯まで入れたが違和感がある 40代女性
治療症例の内容
- 診療科目
- 担当医
- 患者様
- 40代女性
- 治療期間
- 3ヶ月
- 治療回数
- 2-5回
- 治療計画
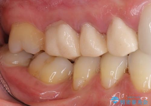
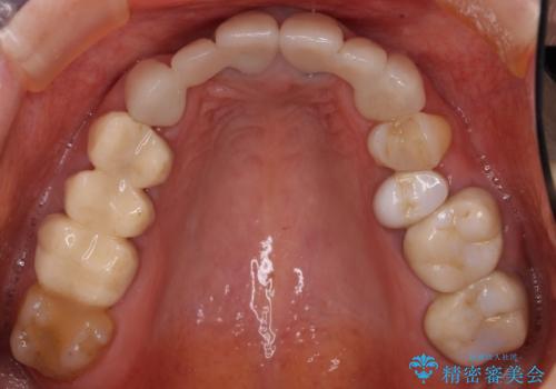
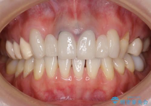
- 他院で仮歯まで入れたものの違和感があることを主訴に来院された患者様です。
違和感があると訴えたにも関わらずそのまま被せようとする他院に不安を感じ、通院をやめてしまったとのことでした。
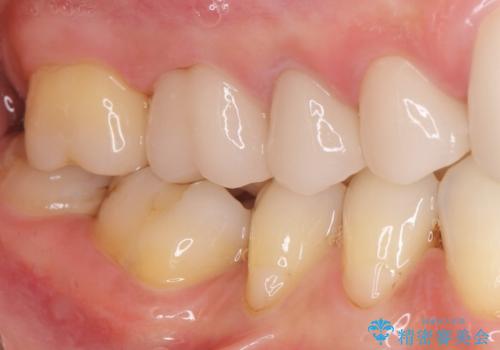
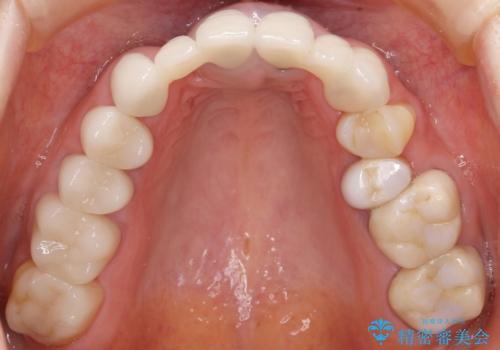
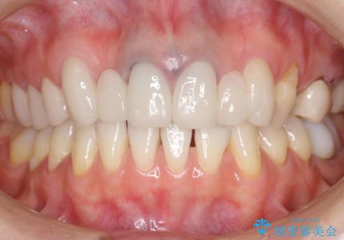
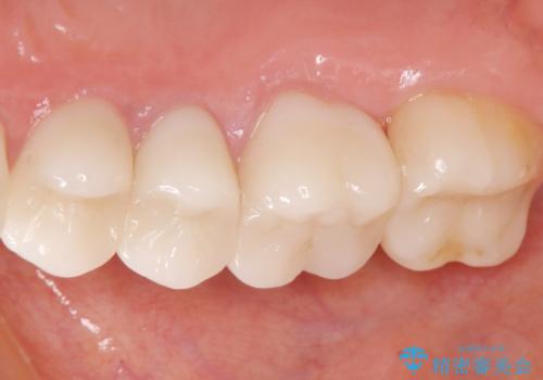
丁寧にう蝕除去と再根管治療を行い症状の改善を確認したのち、セラミッククラウン及びセラミックインレーによる補綴を行いました。
- 費用(概算)
- ¥550,000 (根管治療×1本、土台×1本、クラウン×3本、インレー×1本) ※税込費用は治療当時の料金となります
治療について
まるで天然歯のような自然な見た目と咬み心地にご満足頂けました。
気にされていた違和感もなくなり、喜んで下さいました。
クラウンの種類:オールセラミッククラウン スタンダード
セラミック治療の注意事項(リスク・副作用など)
- 天然歯を削ります
- 硬い素材は天然歯を傷つけてしまう場合があります
- かみ合わせや歯ぎしりが強すぎる方はセラミックが割れてしまう可能性があります
- 自費診療(保険適用外治療)となります
当サイトの内容、テキスト、画像等の無断転載、複製、複写、盗用を固く禁じます。









