症例詳細
Case detail
骨が少なくインプラントできないと言われた 下の奥歯のインプラント 60代男性
治療症例の内容
- 患者様
- 60代男性
- 治療期間
- 10ヶ月
- 治療回数
- 5-10回
- 治療計画
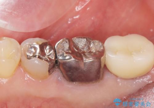
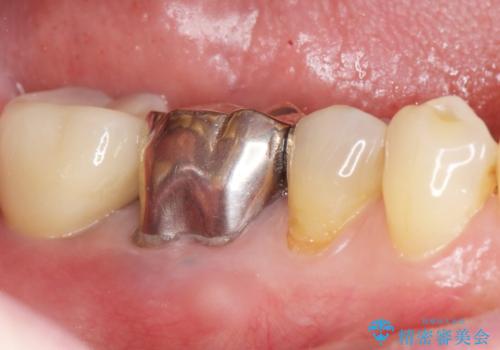
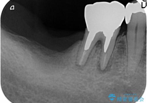
- 奥歯のインプラントをご希望し来院された患者様です。
骨が少なく下顎神経に近いことから、他院でインプラントできないと言われたとのことでした。
骨増生(GBR)を行い骨を増やすことでインプラント治療を可能にしました。
- 費用(概算)
- ¥506,000 (GBR、インプラント、アバットメント、仮歯、クラウン) ※税込費用は治療当時の料金となります
治療について
自然な見た目と咬み心地にご満足頂けました。
他院では難しいと言われていたインプラント治療が可能になり、喜んで下さいました。
インプラントの種類:スプライン ツイスト (HAコーティング)
固定様式:セメント固定
クラウンの種類:オールセラミッククラウン スタンダード
インプラント治療の注意事項(リスク・副作用など)
- 外科手術のため、術後に痛みや腫れ、違和感を伴います
- メンテナンスを怠ったり喫煙により、お口の中に大きな悪影響を及ぼすインプラント周囲炎等にかかる可能性があります
- 糖尿病、肝硬変、心臓病等の場合、インプラント治療ができない可能性があります
- 高血圧、貧血・不整脈等の場合、インプラント治療後に治癒不全を招く可能性があります
- 自費診療(保険適用外治療)となります
セラミック治療の注意事項(リスク・副作用など)
- 天然歯を削ります
- 硬い素材は天然歯を傷つけてしまう場合があります
- かみ合わせや歯ぎしりが強すぎる方はセラミックが割れてしまう可能性があります
- 自費診療(保険適用外治療)となります
当サイトの内容、テキスト、画像等の無断転載、複製、複写、盗用を固く禁じます。


















