症例詳細
Case detail
不自然なブリッジ 自然なセラミックでやりかえ 30代女性
治療症例の内容
- 診療科目
- 治療カテゴリ
- 担当医
- 患者様
- 30代女性
- 治療期間
- 2ヶ月
- 治療回数
- 2-5回
- 治療計画
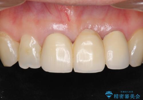
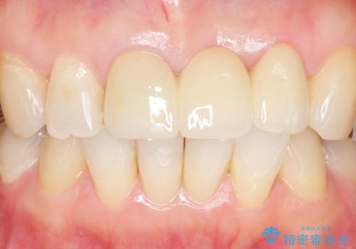
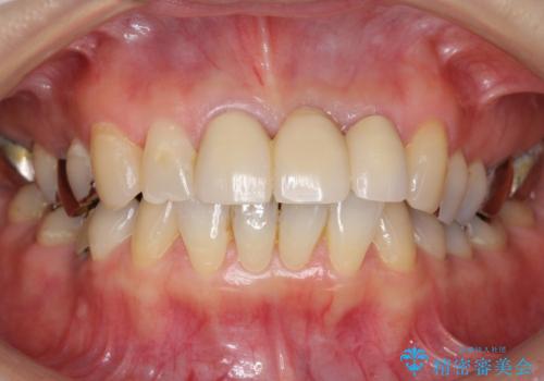
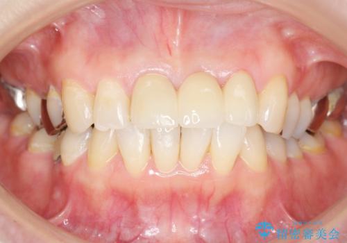
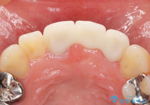
- 前歯のブリッジが不自然で気に入らないことを主訴に来院された患者様です。
前歯のレジン前装冠(保険内)によるブリッジは、金属で裏打ちされており透明感がなく不自然で、ポンティックも必要以上に長く作られていました。
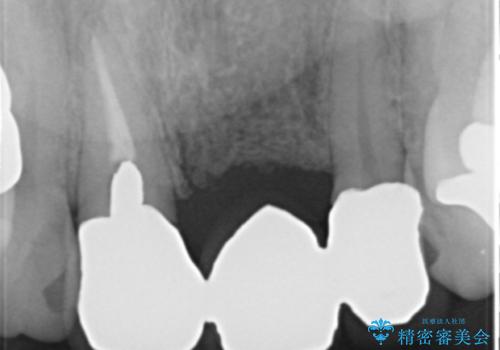
古いブリッジと金属の土台を除去し、ファイバーコア(金属を使わない強くてしなやかな土台)を植立したのち、オールセラミックのブリッジによる補綴治療を行いました。。
- 費用(概算)
- ¥385,000 (土台×1本、仮歯×3本、クラウン×3本) ※税込費用は治療当時の料金となります
治療について
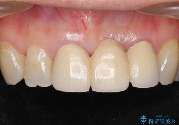
自然な仕上がりに喜んで頂けました。
モチベーションが上がりオフィスホワイトニングもご希望され、口元の印象が明るくなりました。
クラウンの種類:オールセラミッククラウン スタンダード
セラミック治療の注意事項(リスク・副作用など)
- 天然歯を削ります
- 硬い素材は天然歯を傷つけてしまう場合があります
- かみ合わせや歯ぎしりが強すぎる方はセラミックが割れてしまう可能性があります
- 自費診療(保険適用外治療)となります
当サイトの内容、テキスト、画像等の無断転載、複製、複写、盗用を固く禁じます。












