症例詳細
Case detail
歯が欠けた セラミッククラウンで綺麗に 40代女性
治療症例の内容
- 診療科目
- 治療カテゴリ
- 担当医
- 患者様
- 40代女性
- 治療期間
- 3ヶ月
- 治療回数
- 2-5回
- 治療計画
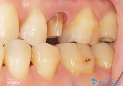
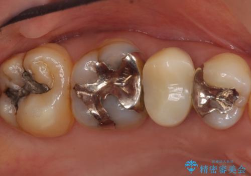
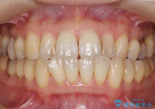
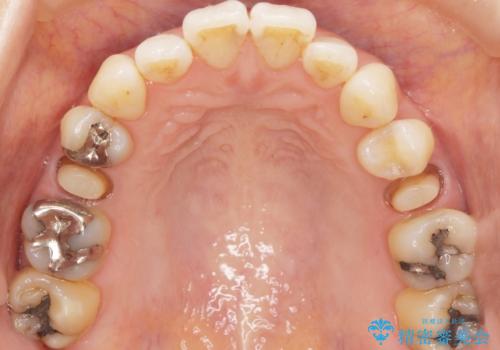
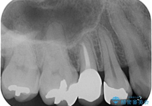
- 歯が欠けてしまったことを主訴に来院された患者様です。
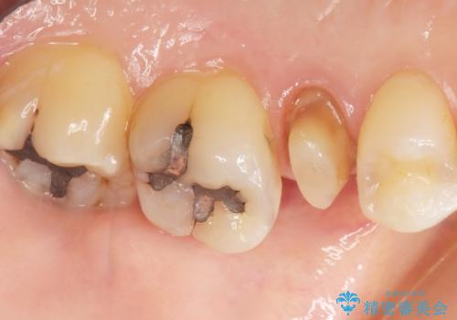
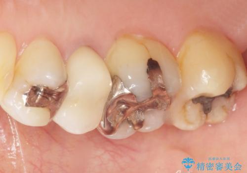
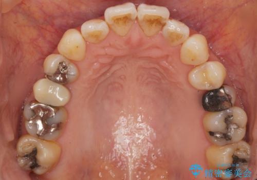
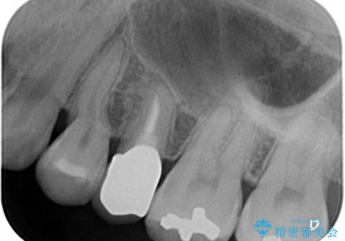
欠けている奥歯(左上5)は失活歯で、保険内の銀の詰め物(メタルアンレー)で治療されていました。
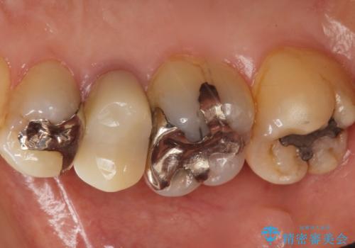
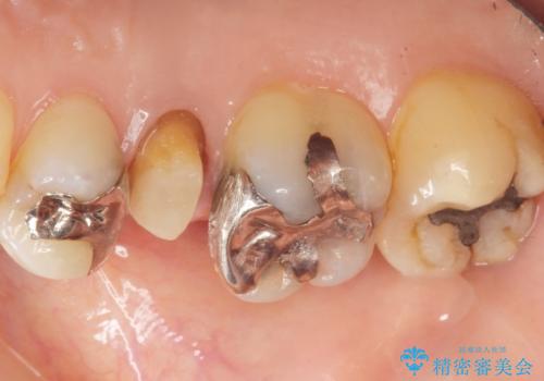
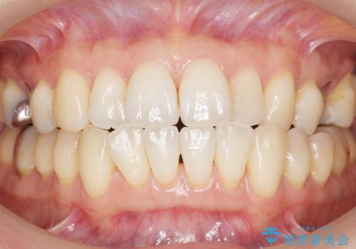
金属の詰め物と土台を除去し、ファイバーコア(金属を使わない強くてしなやかな土台)を植立したのちセラミッククラウンによる補綴治療を行いました。
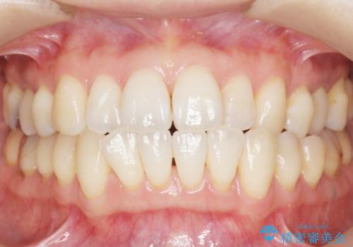
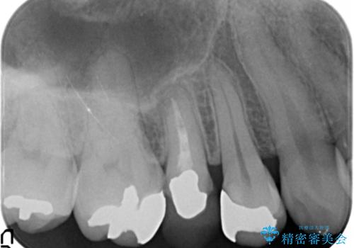
精査したところ、右上の奥歯(右上5)に根尖病変を認めたため、こちらは根管治療後にセラミッククラウンによる補綴を行いました。
- 費用(概算)
- ¥407,000 (根管治療×1本、土台×2本、仮歯×2本、クラウン×2本) ※税込費用は治療当時の料金となります
治療について
自然な見た目と咬み心地にご満足頂けました。
オフィスホワイトニングを行い、白くなった天然歯に合わせたシェード(お色味)でクラウンを作製しました。
モチベーションが上がり、他の銀歯もセラミックで治していきたいとご希望され、現在治療中です。
クラウンの種類:オールセラミッククラウン スタンダード
セラミック治療の注意事項(リスク・副作用など)
- 天然歯を削ります
- 硬い素材は天然歯を傷つけてしまう場合があります
- かみ合わせや歯ぎしりが強すぎる方はセラミックが割れてしまう可能性があります
- 自費診療(保険適用外治療)となります
当サイトの内容、テキスト、画像等の無断転載、複製、複写、盗用を固く禁じます。




























