症例詳細
Case detail
笑った時の印象を変えるメタルフリー治療
治療症例の内容
- 診療科目
- 治療カテゴリ
- 担当医
- 大元洋佑(ドクタープロフィール)
- 患者様
- 20代女性
- 治療期間
- 1ヶ月
- 治療回数
- 2-5回
- 治療計画
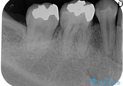
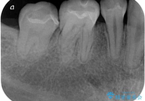
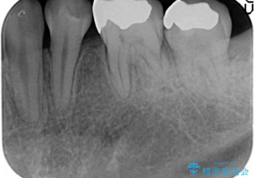
- 矯正治療終了後、前々から気になっていた笑った時に見える銀歯を白くしたいと希望され来院されました。
銀歯を拡大鏡下で丁寧に除去したのち、小さな虫歯も除去し精密で適合の良いセラミックインレーによる再修復を行います。
- 費用(概算)
- 28万円(税別)(セラミックインレー×4)費用は治療当時の料金となります
メタルフリー治療について
笑った時に見える銀歯は口元の印象を大きく変えます。矯正治療後のきれいな歯並びに加えて銀歯がなくなったことでより口元の明るい印象になりました。
セラミック治療の注意事項(リスク・副作用など)
- 天然歯を削ります
- 硬い素材は天然歯を傷つけてしまう場合があります
- かみ合わせや歯ぎしりが強すぎる方はセラミックが割れてしまう可能性があります
- 自費診療(保険適用外治療)となります
当サイトの内容、テキスト、画像等の無断転載、複製、複写、盗用を固く禁じます。






