症例詳細
Case detail
奥歯の違和感 再根管治療 40代女性
治療症例の内容
- 診療科目
- 治療カテゴリ
- 担当医
- 患者様
- 40代女性
- 治療期間
- 3ヶ月
- 治療回数
- 2-5回
- 治療計画
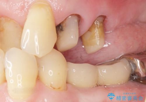
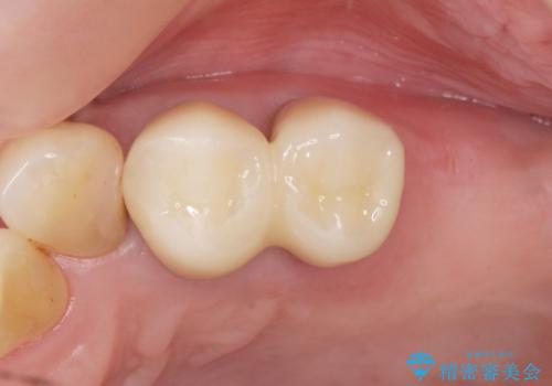
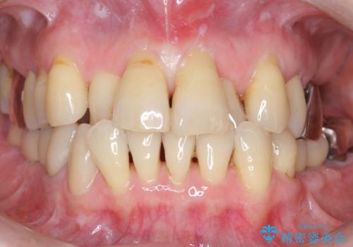
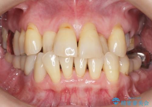
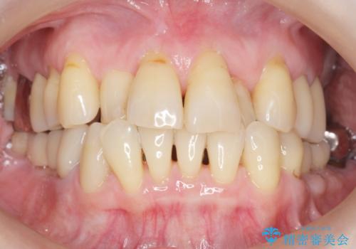
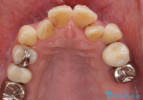
- 奥歯の違和感を主訴に来院された患者様です。
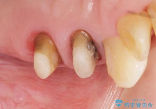
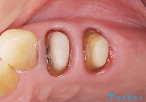
精査したところ、左上の大臼歯2本(左上67)が欠損しており、左上の小臼歯2本(左上45)は根が短く動揺があり根尖病変を認めました。
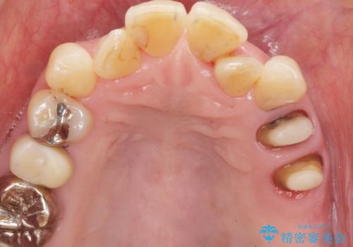
「大臼歯は入れ歯かインプラントを検討しているがまだやりたくないため、小臼歯のみを治療してほしい」との患者様のご希望により、
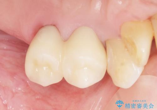
相談を重ねた上で小臼歯2本の再根管治療と連結補綴を行いました。
大臼歯がないため小臼歯に負担がかかりやすいことによるリスクを説明し、ご理解頂いた上で治療を行いました。
- 費用(概算)
- ¥506,000 (再根管治療×2本、土台×2本、仮歯×2本、クラウン×2本) ※税込費用は治療当時の料金となります
治療について
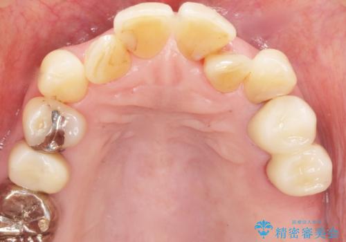
気にされていた歯の動揺や違和感がなくなり、喜んで頂けました。
モチベーションがあがり、大臼歯欠損部位の治療に関しても前向きに検討して下さるとの事でした。
クラウンの種類:オールセラミッククラウン スタンダード
セラミック治療の注意事項(リスク・副作用など)
- 天然歯を削ります
- 硬い素材は天然歯を傷つけてしまう場合があります
- かみ合わせや歯ぎしりが強すぎる方はセラミックが割れてしまう可能性があります
- 自費診療(保険適用外治療)となります
当サイトの内容、テキスト、画像等の無断転載、複製、複写、盗用を固く禁じます。

















