症例詳細
Case detail
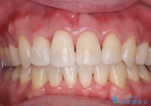
PMTCで歯の表面の着色をきれいに除去。
治療症例の内容
- 診療科目
- 治療カテゴリ
- 患者様
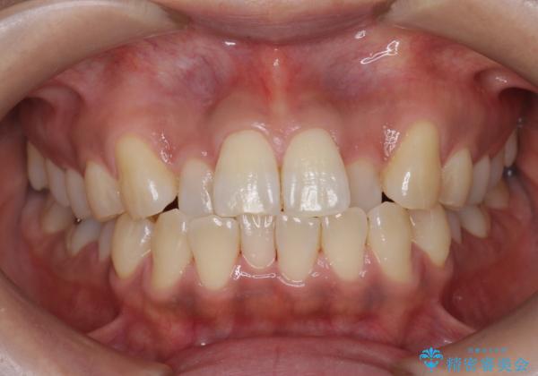
- 30代女性
- 治療期間
- 1日
- 治療回数
- 1回
- 治療計画
- 歯の表面が黒く歯ブラシでは、とれず気になるということでしたので、PMTC(30分コース)をおすすめしました。
- 費用(概算)
- 5,500円(税込) 30分費用は治療当時の料金となります
PMTC(歯科医院での専門的なクリーニング)
着色だけでなく、歯の表面もツルツルになったと、大変喜んでいただけました。
歯並びのせいで着色しやすいようでしたので、処置後矯正のご相談をされ矯正治療を、していくことになりました。
担当歯科衛生士
横浜桜木町歯科 DH進藤
PMTCの注意事項(リスク・副作用など)
- 歯を白くする目的の施術ではありません
- 保険適用外となります
当サイトの内容、テキスト、画像等の無断転載、複製、複写、盗用を固く禁じます。


