症例詳細
Case detail
被せ物がはずれたまま放置していた 20代女性
治療症例の内容
- 診療科目
- 治療カテゴリ
- 担当医
- 患者様
- 20代女性
- 治療期間
- 2ヶ月
- 治療回数
- 2-5回
- 治療計画
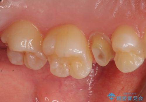
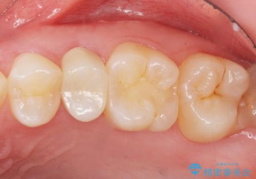
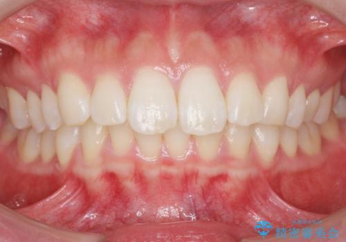
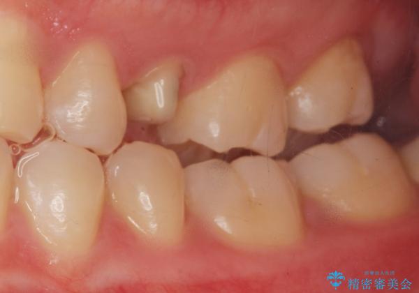
- 以前つけた被せ物がすぐにはずれてしまい1年以上放置してしまったことを主訴に来院された患者様です。
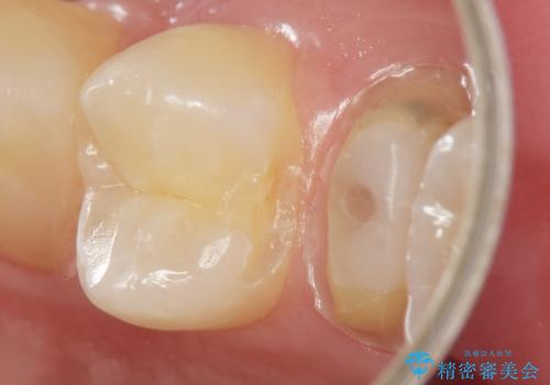
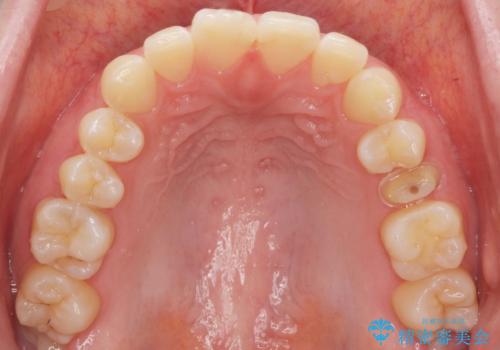
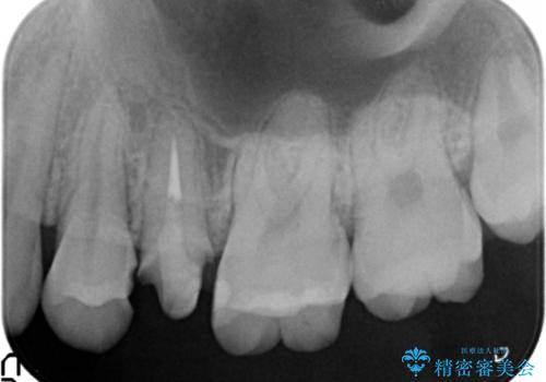
精査したところ、左上の小臼歯(左上5)は被せ物がないまま放置していたことにより、両隣の歯が寄ってきてスペースが少なくなり、また隣の歯(左上4)も虫歯になっていました。
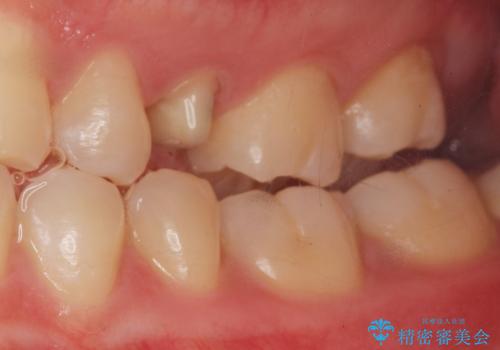
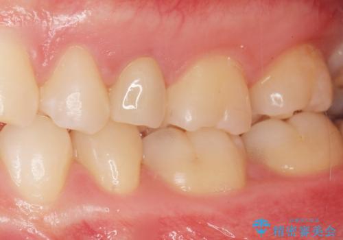
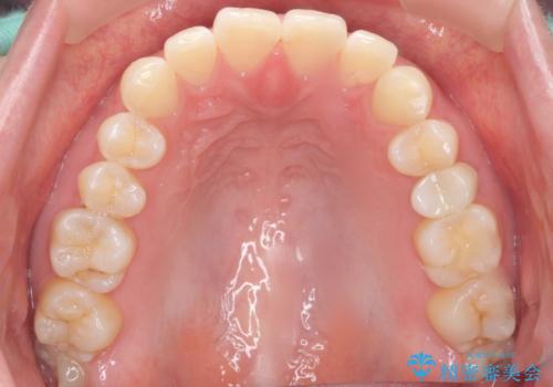
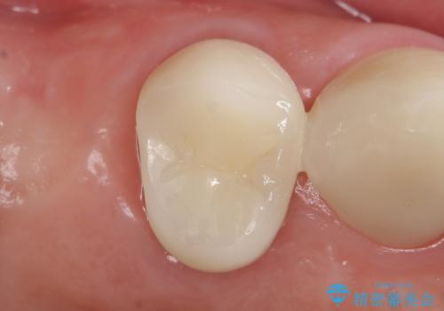
隣の歯の虫歯治療(保険内のレジン充填)後、セラミッククラウンによる補綴を行いました。
- 費用(概算)
- ¥110,000 (仮歯、クラウン)費用は治療当時の料金となります
治療について
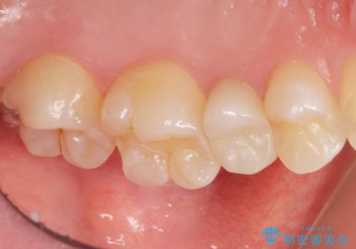
自然な仕上がりにご満足頂けました。
「うわー、自分の歯みたい!すごい!」と喜んで下さいました。
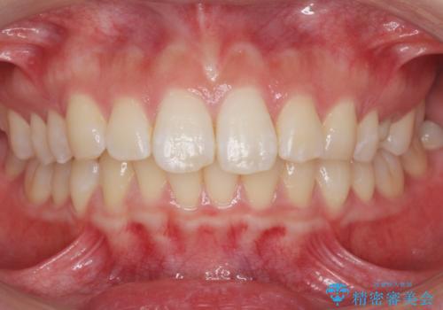
以前つけた被せ物は1週間でとれてしまったそうで、歯ぎしりのご自覚もあることから、咬み合わせの調整を丁寧に行いました。
仮歯およびクラウンの仮付け期間を設け、はずれにくいことや咬み合わせに問題がないことを確認した上で本付けを行いました。
ホワイトニングも行い、口元の印象が明るくなりました。
治療終了後、ナイトガードの作製もご希望されました。
クラウンの種類:オールセラミッククラウン スタンダード
セラミック治療の注意事項(リスク・副作用など)
- 天然歯を削ります
- 硬い素材は天然歯を傷つけてしまう場合があります
- かみ合わせや歯ぎしりが強すぎる方はセラミックが割れてしまう可能性があります
- 自費診療(保険適用外治療)となります
当サイトの内容、テキスト、画像等の無断転載、複製、複写、盗用を固く禁じます。













