症例詳細
Case detail
歯ぐきを押すと痛い 神経が死んでいる歯の治療 40代女性
治療症例の内容
- 診療科目
- 治療カテゴリ
- 担当医
- 患者様
- 40代女性
- 治療期間
- 2ヶ月
- 治療回数
- 2-5回
- 治療計画
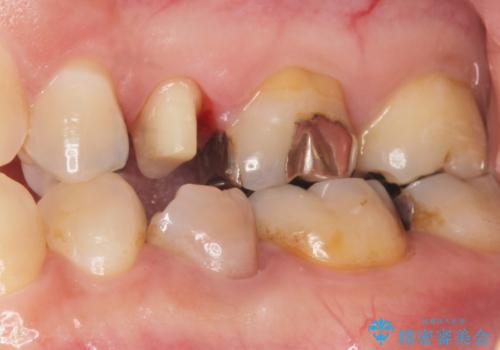
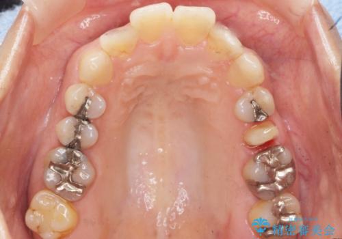
- 歯の根のあたりの歯ぐきを押すと痛むことを主訴に来院された患者様です。
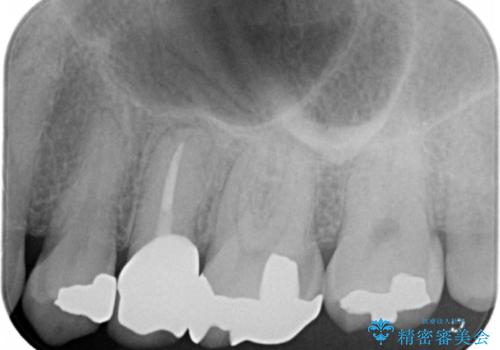
精査したところ、左上の小臼歯(左上5)の神経が死んでいました。
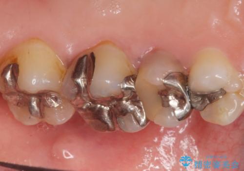
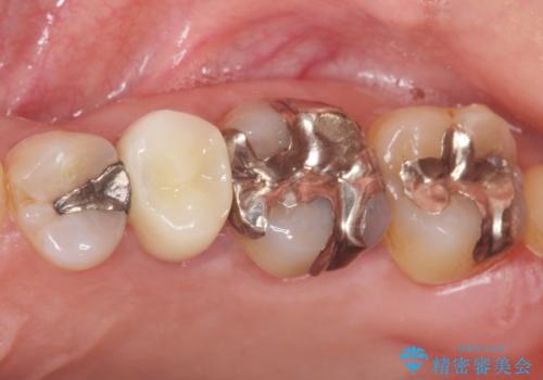
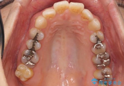
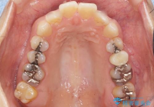
根管治療後、セラミッククラウンによる補綴を行いました。
- 費用(概算)
- ¥210,000 (根管治療、土台、仮歯、クラウン)費用は治療当時の料金となります
治療について
根管治療により症状がなくなり、またセラミッククラウンの自然な仕上がりにご満足頂けました。
クラウンの種類:オールセラミッククラウン スタンダード
セラミック治療の注意事項(リスク・副作用など)
- 天然歯を削ります
- 硬い素材は天然歯を傷つけてしまう場合があります
- かみ合わせや歯ぎしりが強すぎる方はセラミックが割れてしまう可能性があります
- 自費診療(保険適用外治療)となります
当サイトの内容、テキスト、画像等の無断転載、複製、複写、盗用を固く禁じます。














