症例詳細
Case detail
矮小歯 セラミッククラウンで綺麗に 30代女性
治療症例の内容
- 診療科目
- 治療カテゴリ
- 担当医
- 患者様
- 30代女性
- 治療期間
- 2ヶ月
- 治療回数
- 2-5回
- 治療計画
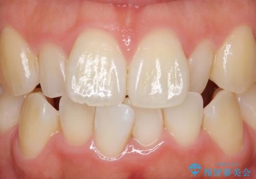
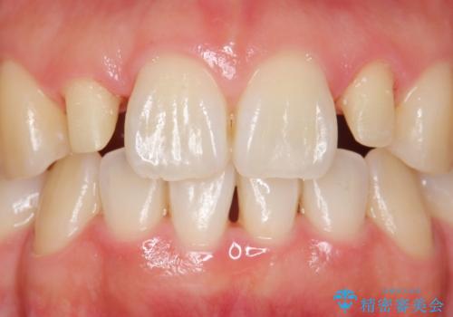
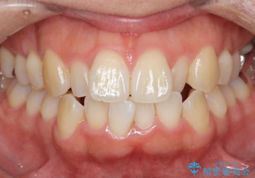
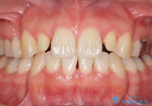
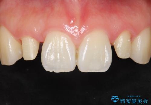
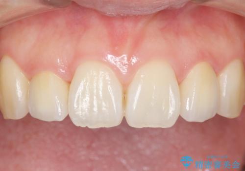
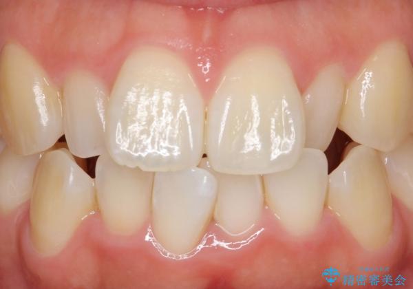
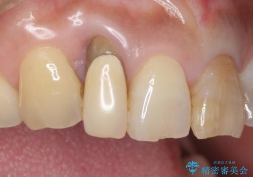
- 口元を綺麗にしたいとのご希望により来院された患者様です。
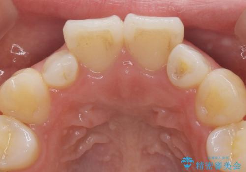
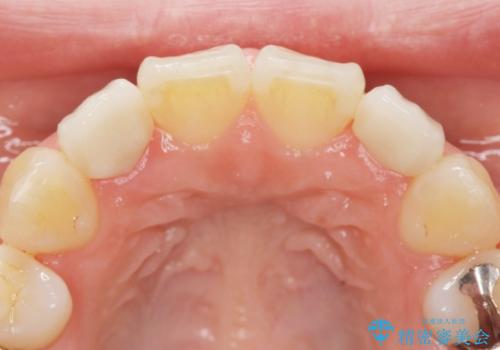
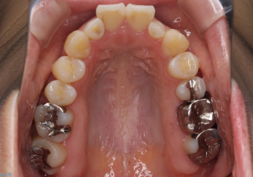
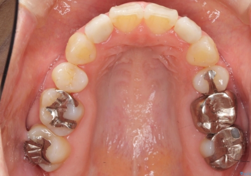
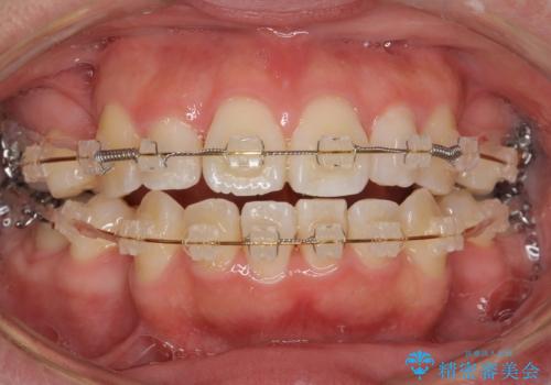
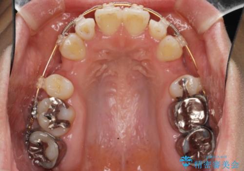
全顎的に歯並びにがたつきがあり、上の側切歯(上顎両側2)は生まれつき小さい歯(矮小歯)でした。
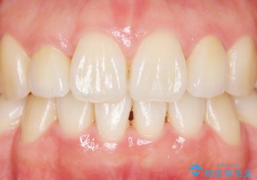
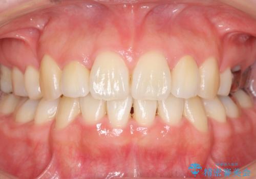
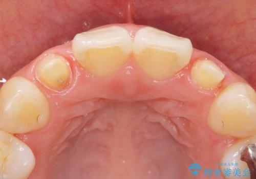
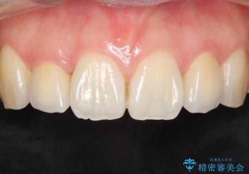
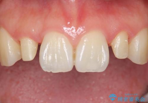
矯正治療後、矮小歯をセラミッククラウンにより理想的な歯の大きさに仕上げました。
※矯正治療は井上副院長が行っております。
- 費用(概算)
- ¥280,000 (仮歯×2本、クラウン×2本)費用は治療当時の料金となります
治療について
自然な仕上がりにご満足頂けました。
「自分でもどこを治したのかわからないくらい自然!」と喜んで下さいました。
クラウンの種類:オールセラミッククラウン スペシャル
セラミック治療の注意事項(リスク・副作用など)
- 天然歯を削ります
- 硬い素材は天然歯を傷つけてしまう場合があります
- かみ合わせや歯ぎしりが強すぎる方はセラミックが割れてしまう可能性があります
- 自費診療(保険適用外治療)となります
当サイトの内容、テキスト、画像等の無断転載、複製、複写、盗用を固く禁じます。






















