症例詳細
Case detail
強い咬み合わせでむし歯が悪化 ゴールドインレーによるむし歯治療
治療症例の内容
- 診療科目
- 治療カテゴリ
- 担当医
- 藤巻太一朗(ドクタープロフィール)
- 患者様
- 20代女性
- 治療期間
- 1ヶ月
- 治療回数
- 2-5回
- 治療計画
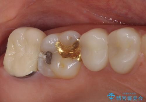
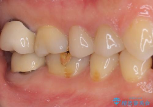
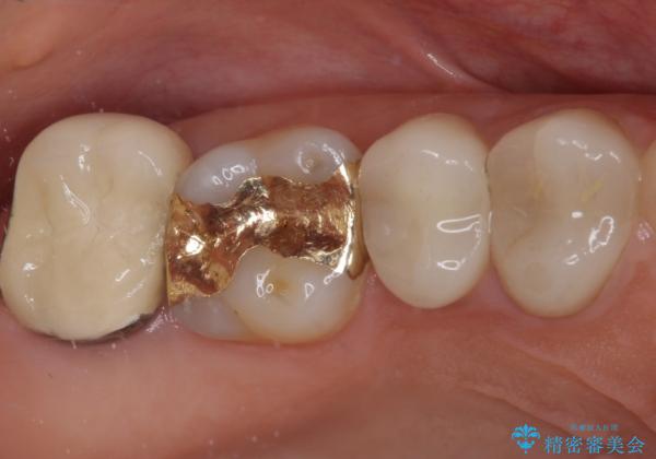
- 奥歯の間にものが挟まって不快であるとのことで来院された患者様です。
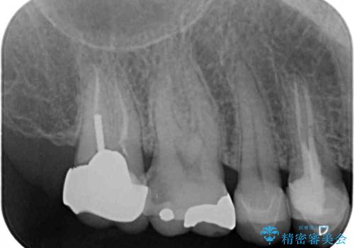
検査を行った結果、非常に強い咬合力により隣の歯との隣接面にひびが入り、虫歯が拡大している状態でした。
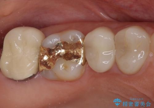
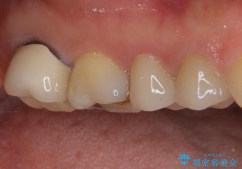
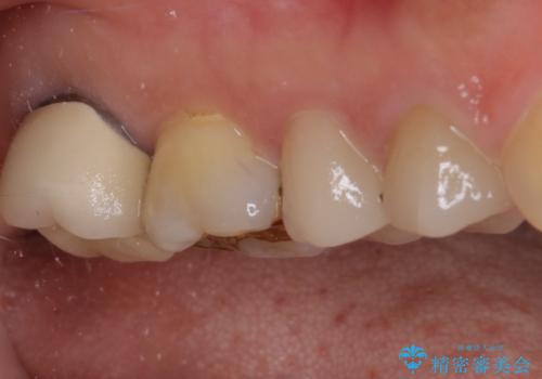
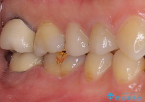
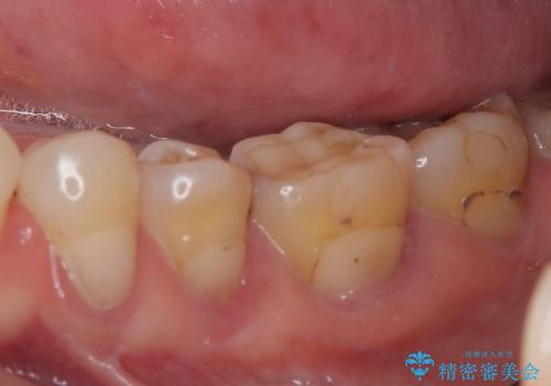
部分的にゴールドインレーが装着されていたので、虫歯と合わせて除去し、新たにゴールドインレーにて修復治療を行うこととしました。
- 費用(概算)
- 治療費の目安: 6万円費用は治療当時の料金となります
治療について
ゴールドインレーは銀歯のインレーやセラミックインレーと比べ、「技工操作の精度が高く、適合が著しく良い」というメリットがあります。特に上の奥歯は歯科医師の操作が行いにくいため、「適合の良さ」は再治療のリスクを防ぐ上でとても重要な要素となります。
上の奥歯は金属色が見えることもないため、審美的な問題は全くありません。
咬合力が原因と思われるむし歯治療では、ゴールドインレーが第一選択になるといっても良いかもしれません。
PGA(ゴールド)クラウン、インレーの注意事項(リスク・副作用など)
- インレーおよびクラウンは脱離するリスクがあります
- 形成量はセラミックより少ないですが、歯の形成、修復後に歯に症状が出ることがあります
- 自費診療(保険適用外治療)となります
当サイトの内容、テキスト、画像等の無断転載、複製、複写、盗用を固く禁じます。








