症例詳細
Case detail
歯ぐきが腫れている 残せない歯を抜歯してブリッジへ 60代男性
治療症例の内容
- 診療科目
- 担当医
- 患者様
- 60代男性
- 治療期間
- 5ヶ月
- 治療回数
- 2-5回
- 治療計画
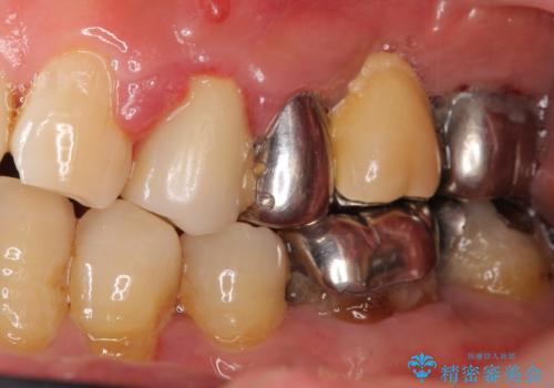
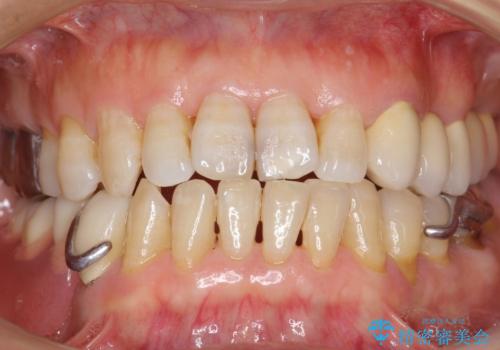
- 左上の歯ぐきが腫れていることを主訴に来院された患者様です。
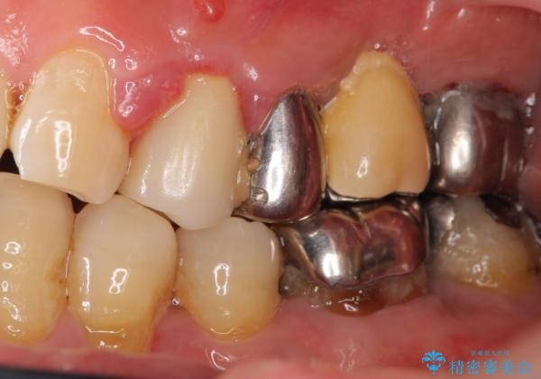
精査したところ、歯ぐきが腫れている左上の小臼歯(左上4)は保存不可能な状態でした。
インプラント・ブリッジ・入れ歯の選択肢を提案させて頂いたところ、ブリッジをご希望されました。
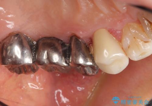
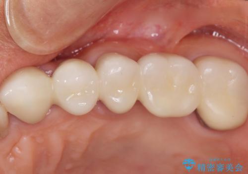
保存不可能な歯(左上4)を抜去後、ブリッジによる補綴治療を行いました。
- 費用(概算)
- ¥760,000 (根管治療×2本、土台×2本、仮歯×5本、クラウン×5本)費用は治療当時の料金となります
治療について
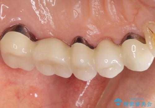
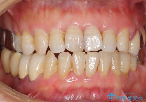
自然な仕上がりと咬み心地に喜んで下さいました。
歯茎の腫れも治り、ご満足頂けました。
クラウンの種類:メタルボンドクラウン エコノミー
セラミック治療の注意事項(リスク・副作用など)
- 天然歯を削ります
- 硬い素材は天然歯を傷つけてしまう場合があります
- かみ合わせや歯ぎしりが強すぎる方はセラミックが割れてしまう可能性があります
- 自費診療(保険適用外治療)となります
当サイトの内容、テキスト、画像等の無断転載、複製、複写、盗用を固く禁じます。














