症例詳細
Case detail
前歯のかぶせ物をオールセラミックへ 形を含めて理想の前歯へ
治療症例の内容
- 診療科目
- 治療カテゴリ
- 担当医
- 患者様
- 30代女性
- 治療期間
- 2ヶ月
- 治療回数
- 2-5回
- 治療計画
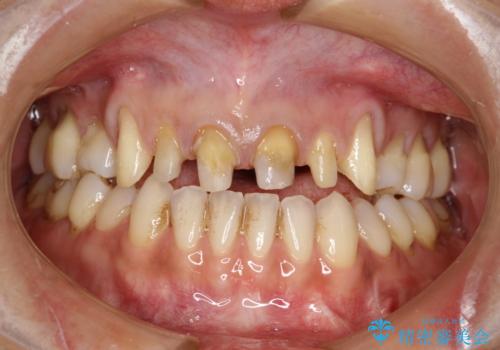
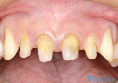
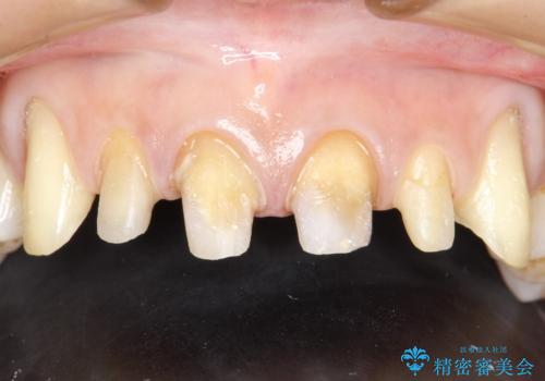
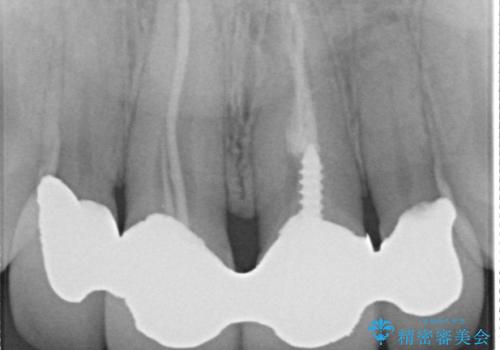
- 昔装着した前歯のかぶせ物を新しくしたいとのことで来院されました。
ご自身の歯とかぶせ物の境目が露出しておりました。
また犬歯の形も気になるとのことでした。
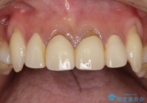
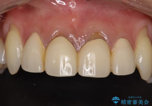
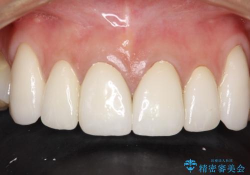
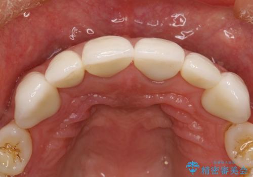
前歯の合計6本をオールセラミッククラウンにする計画としました。
- 費用(概算)
- 約80万円費用は治療当時の料金となります
治療について
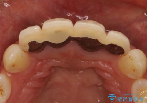
以前に装着されていたものは全て連結されており、清掃性があまり良くありませんでした。
一つ一つを独立したかぶせ物を装着することで、フロスも可能になり、清掃性が向上しました。
セラミック治療の注意事項(リスク・副作用など)
- 天然歯を削ります
- 硬い素材は天然歯を傷つけてしまう場合があります
- かみ合わせや歯ぎしりが強すぎる方はセラミックが割れてしまう可能性があります
- 自費診療(保険適用外治療)となります
当サイトの内容、テキスト、画像等の無断転載、複製、複写、盗用を固く禁じます。

















