症例詳細
Case detail
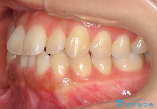
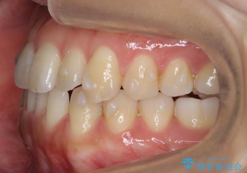
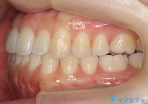
前歯のがたつき インビザラインで 下の奥歯を後ろに下げる
治療症例の内容
- 担当医
- 井上季実子(ドクタープロフィール)
- 患者様
- 20代女性
- 矯正装置
- インビザライン フル
- 治療期間
- 1年6ヶ月
- 治療回数
- 10-30回
- 治療計画
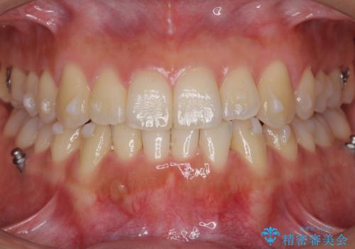
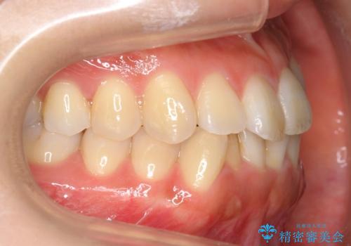
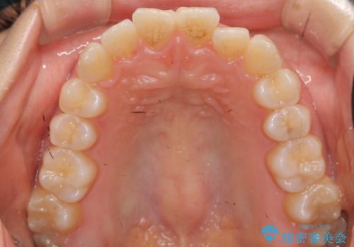
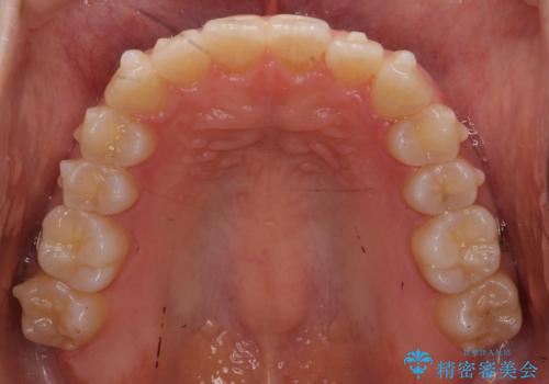
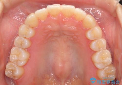
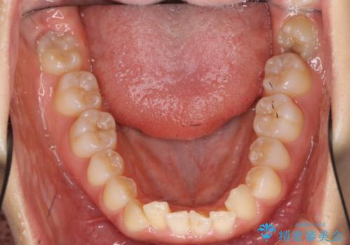
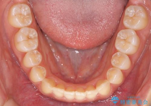
- 上下の前歯のがたつきを主訴に来院。
骨格的に受け口の傾向があり、下の奥歯が前方にに位置しており、下の前歯が特にがたつきが大きい状態でした。
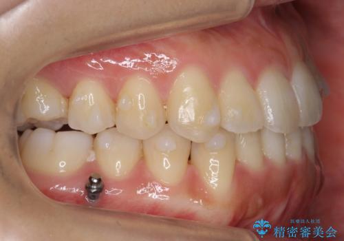
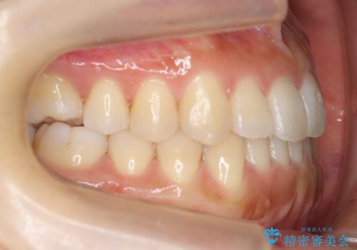
下の奥歯を後ろに下げて下の前歯が前方に出ないように治療しました。
矯正用ミニスクリューを用いて治療しています。
- 費用(概算)
- 105万円 (インビザライン85万円 付加装置 10万円)費用は治療当時の料金となります
治療について
奥歯のかみ合わせの前後的なずれをそのままにして治療すると、前歯が突き上げるような状態になってしまいます。
ただその場で並べるのではなく、症状によっては奥歯を後ろに下げる必要があります。
マウスピース矯正の注意事項(リスク・副作用など)
- 口腔内・歯並びの状態によっては対応できない場合があります
- マウスピース型矯正装置の長時間装着(1日20時間以上)が必須です
- 治療計画通りに進めるためには、患者様の意志が重要になります
- 矯正治療後の保定が不十分だと後戻り(元の位置に戻ろうとする動き)をします
- 薬機法対象外の矯正歯科装置のため医薬品副作用被害救済制度の対象外となる場合があります
- 自費診療(保険適用外)となります
当サイトの内容、テキスト、画像等の無断転載、複製、複写、盗用を固く禁じます。

















