症例詳細
Case detail
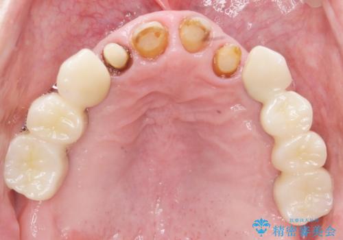
被せ物がとれたまま放置していた セラミックで綺麗に 50代男性
治療症例の内容
- 診療科目
- 治療カテゴリ
- 担当医
- 患者様
- 50代男性
- 治療期間
- 3ヶ月
- 治療回数
- 2-5回
- 治療計画
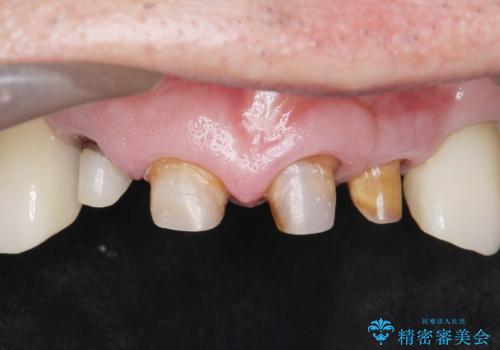
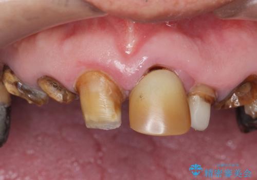
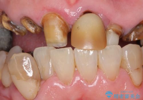
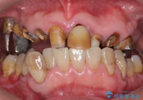
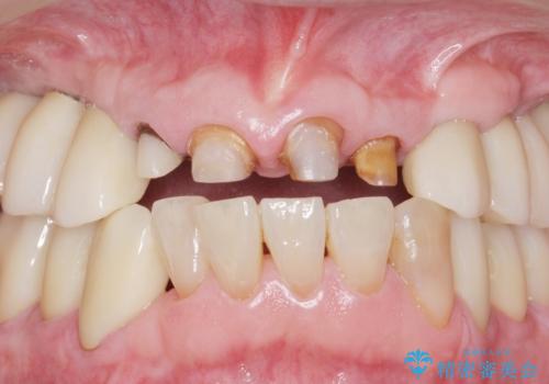
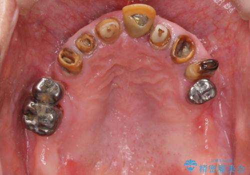
- 前歯の被せ物がとれたまま放置されていた患者様です。
前歯4本のうち3本の被せ物が脱離し、残りの1本の被せ物は劣化し変色していました。
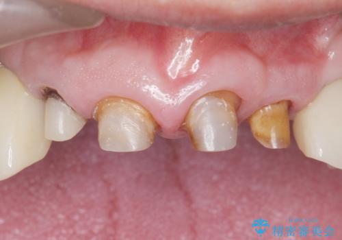
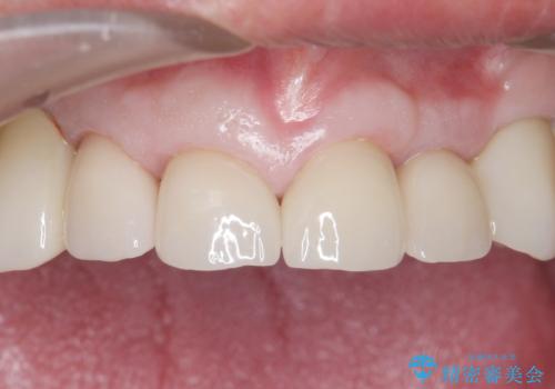
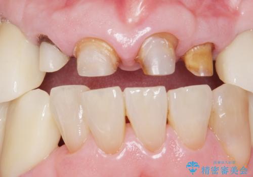
古い被せ物や土台・虫歯をしっかり除去したのち、セラミック治療を行いました。
患者様のご希望により、根尖病変の明らかな左上2のみ根管治療を行いました。
- 費用(概算)
- ¥610,000 (根管治療×1本、土台×4本、仮歯×4本、クラウン×4本)費用は治療当時の料金となります
治療について
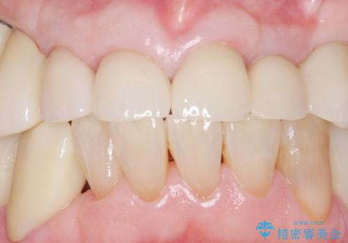
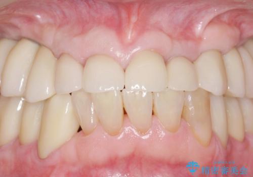
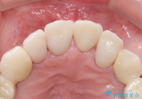
審美的な仕上がりと自然な咬み心地に喜んで頂けました。
治療前は口元を隠すようにお話しされていたのですが、治療後はそれもなくなり、満面の笑顔を見せて下さいました。
クラウンの種類:オールセラミッククラウン スタンダード
※右上臼歯部のインプラント治療についてはこちらです。→ https://seimitsushinbi.jp/case/67849/
※左上臼歯部のインプラント治療についてはこちらです。→https://seimitsushinbi.jp/case/68610/
※右下臼歯部の再生療法についてはこちらです。→https://seimitsushinbi.jp/case/67993/
※左下臼歯部の再生療法についてはこちらです。→ https://seimitsushinbi.jp/case/68659/
セラミック治療の注意事項(リスク・副作用など)
- 天然歯を削ります
- 硬い素材は天然歯を傷つけてしまう場合があります
- かみ合わせや歯ぎしりが強すぎる方はセラミックが割れてしまう可能性があります
- 自費診療(保険適用外治療)となります
当サイトの内容、テキスト、画像等の無断転載、複製、複写、盗用を固く禁じます。




















