症例詳細
Case detail
歯周病を治す 再生療法 50代男性
治療症例の内容
- 患者様
- 50代男性
- 治療期間
- 1年9ヶ月
- 治療回数
- 5-10回
- 治療計画
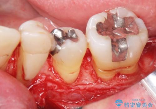
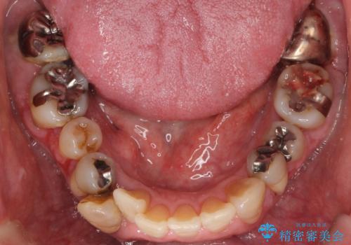
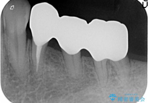
- 全顎的な重度歯周病の患者様です。
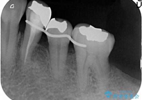
骨吸収の進行している左下臼歯部に、再生療法(骨を増やす手術))を行いました。
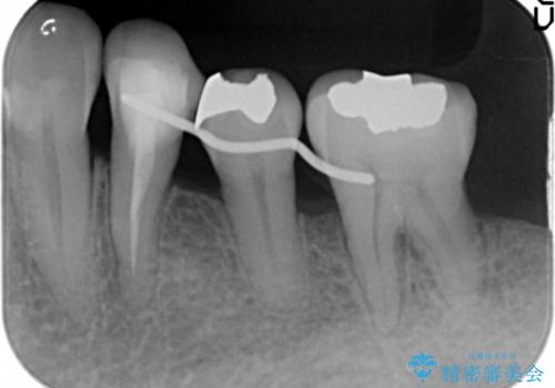
再生療法から1年後、リエントリー手術により骨の再生を確認し、骨外科処置(骨を平らにして歯周ポケットの根本的な改善を図る処置)を行いました。
埋伏していた親知らず、保存不可能な左下の一番奥の歯(左下7)は抜歯しました。
- 費用(概算)
- ¥670,000 (再生療法、骨外科処置、仮歯×3本、土台×1本、被せ物×3本)費用は治療当時の料金となります
治療について
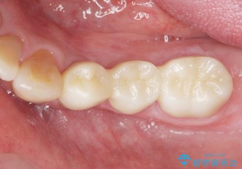
再生療法と骨外科処置により、歯周ポケットは全周2mm以下となりました。
根本的な歯周病の治療を行うことで不安がなくなり、患者様に喜んで頂けました。
また、奥歯の動揺がなくなりしっかりと咬むことができ、審美的・機能的にもご満足頂けました。
被せ物の種類:オールセラミッククラウン ベレッツァ
※左上臼歯部のインプラント治療についてはこちらです。→https://seimitsushinbi.jp/case/68610/
※右下臼歯部の再生療法についてはこちらです。→https://seimitsushinbi.jp/case/67993/
歯周病治療の注意事項(リスク・副作用など)
- 外科手術のため、術後に痛みや腫れ、違和感を伴います
- 歯周組織再生治療は患者様の状態によって術後の経過が異なります(見た目が改善しない場合もあります)
- 歯周組織再生治療は自費診療(保険適用外)となります
外科処置の注意事項(リスク・副作用など)
- 外科手術のため、術後に出血、痛みや腫れ、違和感を伴います
- 口腔内の状態によっては適応できないことがあります
セラミック治療の注意事項(リスク・副作用など)
- 天然歯を削ります
- 硬い素材は天然歯を傷つけてしまう場合があります
- かみ合わせや歯ぎしりが強すぎる方はセラミックが割れてしまう可能性があります
- 自費診療(保険適用外治療)となります
当サイトの内容、テキスト、画像等の無断転載、複製、複写、盗用を固く禁じます。
















