症例詳細
Case detail
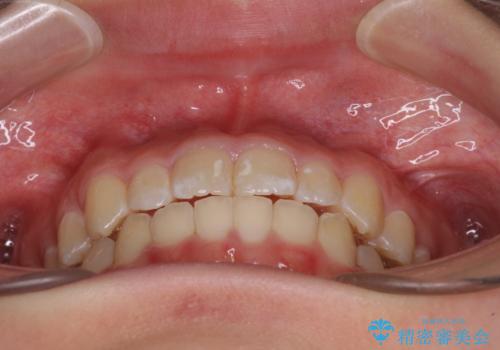
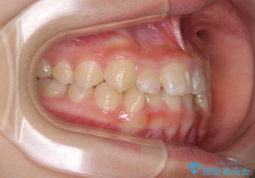
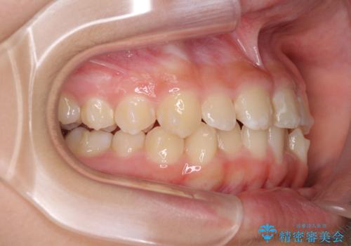
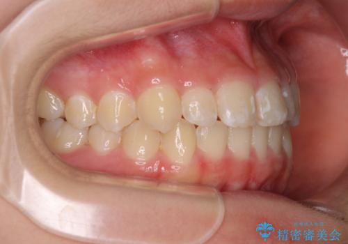
遠方から新幹線で通院 急速拡大装置とインビザラインによる矯正治療
治療症例の内容
- 診療科目
- 担当医
- 藤巻太一朗(ドクタープロフィール)
- 患者様
- 10代女性(高校生)
- 矯正装置
- 急速拡大装置・インビザライン
- 治療期間
- 3年
- 治療回数
- 10-30回
- 治療計画
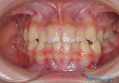
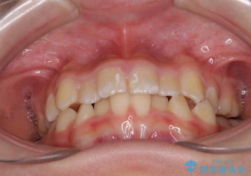
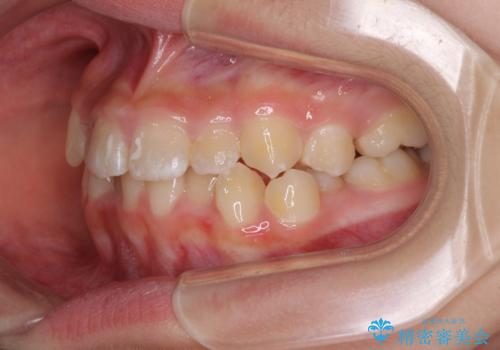
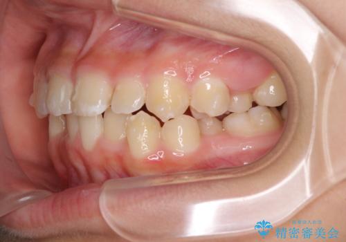
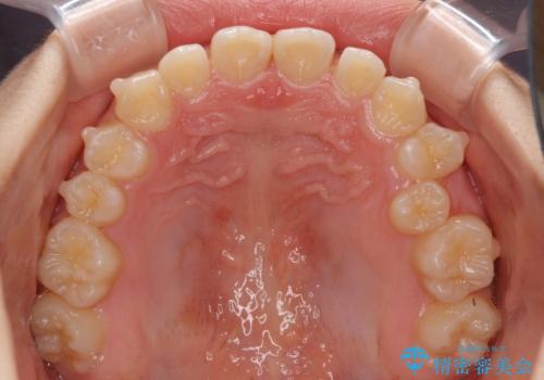
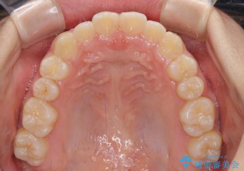
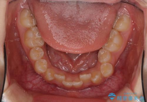
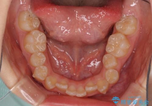
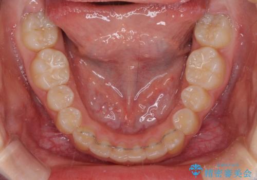
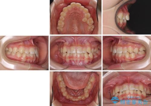
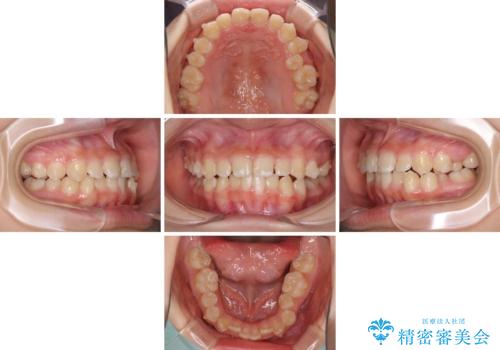
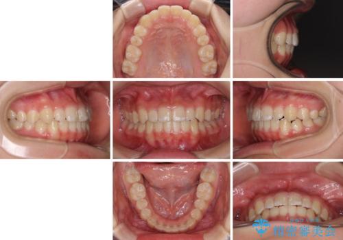
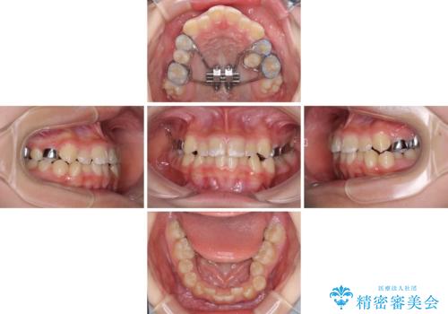
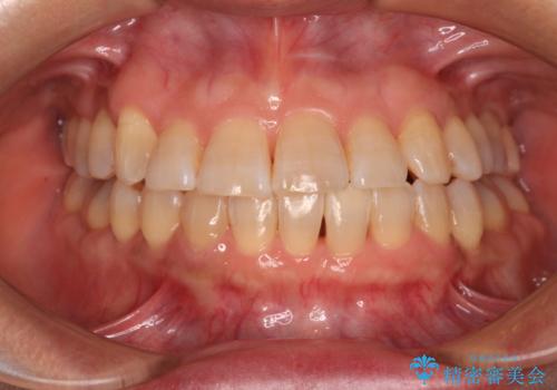
- 小児矯正の頃から診察を行っている患者様です。
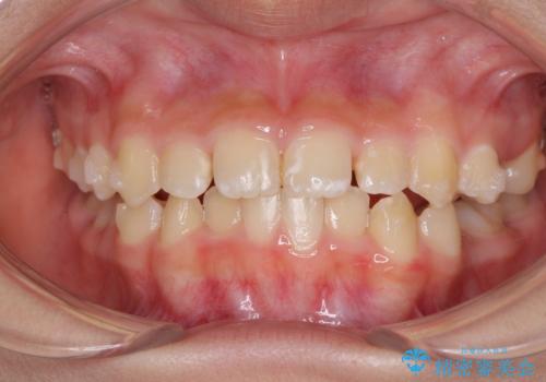
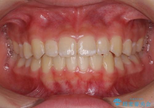
上顎骨の幅が下顎骨よりも小さいので、拡大装置により骨幅を広げて上下関係を改善し、その後インビザラインにて歯並びを整えることとしました。
- 費用(概算)
- 治療費の目安: 90万円費用は治療当時の料金となります
治療について
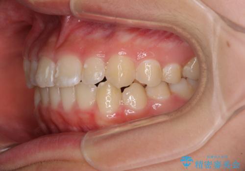
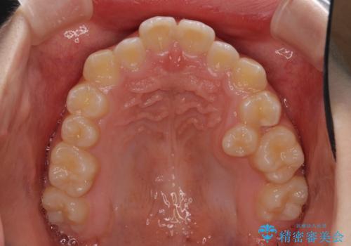
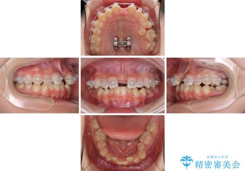
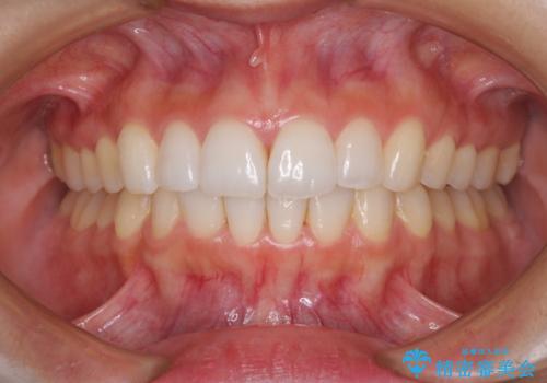
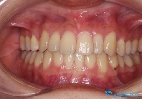
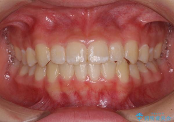
上下の骨幅を改善したことで、スムーズに歯列矯正を行うことができました。
インビザライン治療開始直後に遠方に引っ越しをされたため、通院間隔が長くなり、治療期間が長くなりましたが、しっかりと治療を行うことができました。
マウスピース矯正の注意事項(リスク・副作用など)
- 口腔内・歯並びの状態によっては対応できない場合があります
- マウスピース型矯正装置の長時間装着(1日20時間以上)が必須です
- 治療計画通りに進めるためには、患者様の意志が重要になります
- 矯正治療後の保定が不十分だと後戻り(元の位置に戻ろうとする動き)をします
- 薬機法対象外の矯正歯科装置のため医薬品副作用被害救済制度の対象外となる場合があります
- 自費診療(保険適用外)となります
当サイトの内容、テキスト、画像等の無断転載、複製、複写、盗用を固く禁じます。































